Майское солнце!

В этом разделе каждый желающий может разместить свой рассказ об операции по исправлению "О-образной" кривизны ног. Здесь вы можете вести свой дневник, или разместить рассказ целиком. Приветствуется подробность изложения и размещение фото и видео материала.
Ответить
Аватара пользователя
Sekretar Onipko
Сообщения: 4551
Зарегистрирован: 16 авг 2011, 22:12

Майское солнце!

Сообщение Sekretar Onipko »

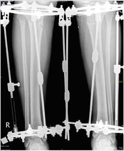
Дата операции 26.05.2015г.
Исходник 26 лет, Киргизия.
Вложения
20150313_193259.jpg
20150313_193103.jpg
Аватара пользователя
Sekretar Onipko
Сообщения: 4551
Зарегистрирован: 16 авг 2011, 22:12

Re: Майское солнце!

Сообщение Sekretar Onipko »

4-ый день круток.
Вложения
20150606_093329.jpg
20150606_093221.jpg
starlite
Сообщения: 3
Зарегистрирован: 28 май 2015, 09:36

Re: Майское солнце!

Сообщение starlite »

Ножки на сегодня.

Здравствуйте Николай Николаевич, Наталья! У меня все отлично, ножки не бесспокоят. Только один болт на вверхнем кольце наружной стержени открутился и я обратно докрутила. Надеюсь ногам от этого ничего не будет. Жду комментариев по фото.
Спасибо заранее!!!
Вложения
20150717_135802.jpg
starlite
Сообщения: 3
Зарегистрирован: 28 май 2015, 09:36

Re: Майское солнце!

Сообщение starlite »

...
Вложения
20150717_121534.jpg
Аватара пользователя
Sekretar Onipko
Сообщения: 4551
Зарегистрирован: 16 авг 2011, 22:12

Re: Майское солнце!

Сообщение Sekretar Onipko »

Здравствуйте, starlite! Ножки в норме, красивенькие. Если болтики откручиваются, их нужно просто закрутить до упора (ничего страшного).
Аватара пользователя
Sekretar Onipko
Сообщения: 4551
Зарегистрирован: 16 авг 2011, 22:12

Re: Майское солнце!

Сообщение Sekretar Onipko »

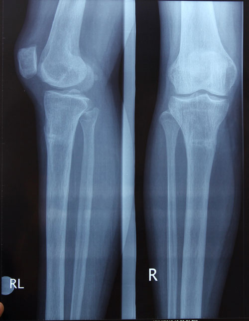
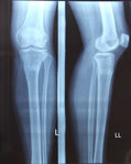
Рентген в 60 дней.
Вложения
TOKTOROVA--G-1988--F---30-12-1899--CR-from-27-07-2015-S0-I0.jpg
Аватара пользователя
Sekretar Onipko
Сообщения: 4551
Зарегистрирован: 16 авг 2011, 22:12

Re: Майское солнце!

Сообщение Sekretar Onipko »

ножки на сегодня.
Вложения
20150806_193953.jpg
20150806_193541.jpg
Аватара пользователя
Sekretar Onipko
Сообщения: 4551
Зарегистрирован: 16 авг 2011, 22:12

Re: Майское солнце!

Сообщение Sekretar Onipko »

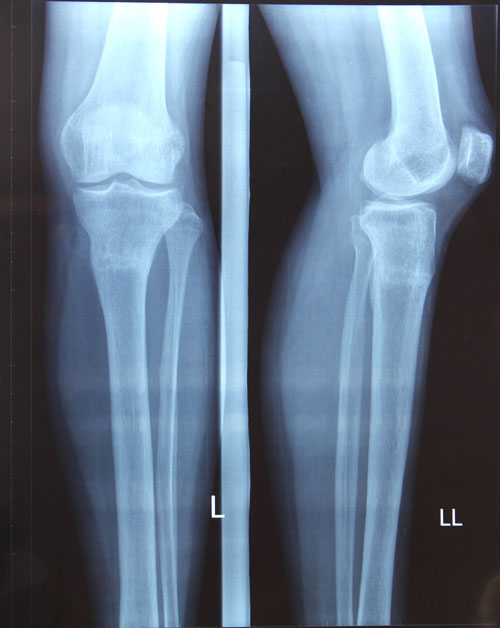
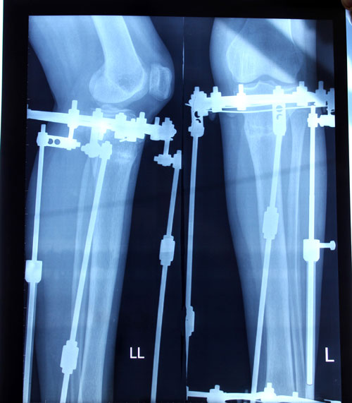
Рентген в 90 дней.
Приезжайте на снятие аппаратов!
Вложения
foto-2.jpg
foto.jpg
Аватара пользователя
Sekretar Onipko
Сообщения: 4551
Зарегистрирован: 16 авг 2011, 22:12

Re: Майское солнце!

Сообщение Sekretar Onipko »

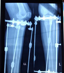
Дата операции 26.05.2015г.
Дата снятия аппаратов 28.08.2015г.
Срок лечения 92 дня.

pozdravlyau
Вложения
20150313_193259.jpg
20150313_193103.jpg
starlite
Сообщения: 3
Зарегистрирован: 28 май 2015, 09:36

Re: Майское солнце!

Сообщение starlite »

Здравствуйте!!!!
Хочу выразить искренную благодарность, признательность и уважение вам Николай Николаевич , Наталья и вашему медицинскому персоналу за ответственное отношение к своему делу, за отзывчивость,чуткое ,внимательное отношение к пациентам.
Вы не только врач с большой буквы , ВЫ прежде всего человек- добрый, понимающий, любящий всою профессию- а это самое главное для нас, людей которых нуждаются в ващей помощи!!!
Огромное вам человеческое Спасибо за ваш ТАЛАНТ, ЗОЛОТЫЕ РУКИ, ОГРОМНОЕ СЕРДЦЕ !!!
Спасибо за ваш не лёгкий труд , за ваше желание помочь и за ОЧЕНЬ КРАСИВЫЙ РЕЗУЛЬТАТ!!!
Желаю вам и вашим близким крепкого здоровья , благополучия , удачи и ТОЛЬКО БЛОГОДАРНЫХ ПАЦИЕНТОВ!!!! a160bd3a1.gif
Аватара пользователя
Sekretar Onipko
Сообщения: 4551
Зарегистрирован: 16 авг 2011, 22:12

Re: Майское солнце!

Сообщение Sekretar Onipko »

рентген контроль в 1,5 месяца после снятия аппарата.
По результату рентгена - Вам разрешено всё без ограничений (спорт, каблуки, нагрузки). Кроме: беременности в течении первых 6 месяцев после снятия аппаратов.
Вложения
foto.jpg
foto(1).jpg
Аватара пользователя
Sekretar Onipko
Сообщения: 4551
Зарегистрирован: 16 авг 2011, 22:12

Re: Майское солнце!

Сообщение Sekretar Onipko »

Здравствуйте Николай Николаевич,Наталья!! Мои прямульки на сегодняшний день!!!
Вложения
20151030_221136.jpg
20151030_221157.jpg
Аватара пользователя
Sekretar Onipko
Сообщения: 4551
Зарегистрирован: 16 авг 2011, 22:12

Re: Майское солнце!

Сообщение Sekretar Onipko »

Ножки в 1,5 месяца с момента снятия аппаратов.
Здравствуйте, starlite ! Ну, и что Вы нам не показывали такую красоту??? Супер! Мы гордимся своей работой! Спасибо за фото, не забывайте нас, шлите фото ножек через время, на каблуках и т.д.
Вложения
20151030_214024.jpg
20151030_214030-1.jpg
Ответить