С Семея нас много!
- Sekretar Onipko
- Сообщения: 4551
- Зарегистрирован: 16 авг 2011, 22:12
- Sekretar Onipko
- Сообщения: 4551
- Зарегистрирован: 16 авг 2011, 22:12
- Sekretar Onipko
- Сообщения: 4551
- Зарегистрирован: 16 авг 2011, 22:12
- Sekretar Onipko
- Сообщения: 4551
- Зарегистрирован: 16 авг 2011, 22:12
- Sekretar Onipko
- Сообщения: 4551
- Зарегистрирован: 16 авг 2011, 22:12
- Sekretar Onipko
- Сообщения: 4551
- Зарегистрирован: 16 авг 2011, 22:12
Re: С Семея нас много!
Ножки на сегодня.
Пациентка делает упор на правую ногу, левую щадит.
Пациентка делает упор на правую ногу, левую щадит.
- Sekretar Onipko
- Сообщения: 4551
- Зарегистрирован: 16 авг 2011, 22:12
- Sekretar Onipko
- Сообщения: 4551
- Зарегистрирован: 16 авг 2011, 22:12
Re: С Семея нас много!
Рентген в 60 дней с момента операции.
Сращение идёт хорошо, костная мозоль растёт.
Сращение идёт хорошо, костная мозоль растёт.
- Sekretar Onipko
- Сообщения: 4551
- Зарегистрирован: 16 авг 2011, 22:12
- Sekretar Onipko
- Сообщения: 4551
- Зарегистрирован: 16 авг 2011, 22:12
- Sekretar Onipko
- Сообщения: 4551
- Зарегистрирован: 16 авг 2011, 22:12
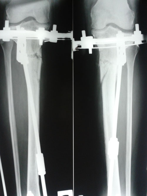
Re: С Семея нас много!
рентген в 90 дней.
Костная мозоль растёт хорошо, планируем снятие аппаратов в 4 месяца.
Костная мозоль растёт хорошо, планируем снятие аппаратов в 4 месяца.

- Sekretar Onipko
- Сообщения: 4551
- Зарегистрирован: 16 авг 2011, 22:12
Re: С Семея нас много!
Дата операции 03.12.2014г.
Дата снятия аппаратов 06. 04.2015г.
Срок лечения 4 месяца.

Дата снятия аппаратов 06. 04.2015г.
Срок лечения 4 месяца.


