Артродез голеностопного сустава
- Kachirskiy
- Сообщения: 5
- Зарегистрирован: 13 сен 2011, 21:46
Артродез голеностопного сустава
В 1992 году перенёс энцефалит, после этого левая стопа с годами начала деформироваться всё сильнее и сильнее. Последнее время стопа при нагрузки стала вывихиваться, появились ужасные боли, ходить становится всё труднее. Мне 42 года, в клинике Онипко мне поставили диагноз "Состояние после перенесенного энцефалита, эквино-поло-варусная деформация стопы, прогрессирующий подвывих голеностопного сустава в порочном положении, деформирующий артроз". 20 июля Н.Н. сделал операцию- артродез голеностопного сустава(остеосинтез компресирующим аппаратом Илизарова-Онипко. Швы сняли на 10-ый день, через 2 недели выписали домой.Фото до операцииФото до операцииФото до операции
- Kachirskiy
- Сообщения: 5
- Зарегистрирован: 13 сен 2011, 21:46
Re: Артродез голеностопного сустава
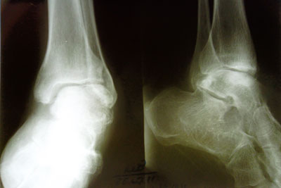
Рентген до операцииРентген до ОП
- Kachirskiy
- Сообщения: 5
- Зарегистрирован: 13 сен 2011, 21:46
- Kachirskiy
- Сообщения: 5
- Зарегистрирован: 13 сен 2011, 21:46
- Kachirskiy
- Сообщения: 5
- Зарегистрирован: 13 сен 2011, 21:46
Re: Артродез голеностопного сустава
Рентген через 1,5 месяца после операцииХожу на костылях, перевязки за 150 км приезжаю делать в клинику один раз в 10 дней. Там же мне и делают компрессию по всем стержням. :)
-
loginza574
- Сообщения: 2
- Зарегистрирован: 05 фев 2015, 12:50
- Контактная информация:
Re: Артродез голеностопного сустава
Здравствуйте. Мне рекомендована операция: открытый артродез таранно-пяточного сочления; экскохолеация кисты пяточной кости левой стопы.
Делайте ли вы такие операции? Если да, что для этого нужно?
Делайте ли вы такие операции? Если да, что для этого нужно?
- Sekretar Onipko
- Сообщения: 4551
- Зарегистрирован: 16 авг 2011, 22:12
Re: Артродез голеностопного сустава
Здравствуйте, loginza574! Вышлите рентген снимки. После, я дам Вам ответ!
-
loginza574
- Сообщения: 2
- Зарегистрирован: 05 фев 2015, 12:50
- Контактная информация:
- Sekretar Onipko
- Сообщения: 4551
- Зарегистрирован: 16 авг 2011, 22:12
Re: Артродез голеностопного сустава
Здравствуйте, loginza574!
Операцию доктор Онипко сделает! Общий срок лечения 3,5 месяца (в аппарате). В стационаре 10 дней.
Стоимость операции 250 000 тенге + койко - день 5000 тенге (проживание в 2-х местной палате с 4-х разовым питанием)х 10 дней.
Список анализов viewtopic.php?f=27&t=32
Операцию доктор Онипко сделает! Общий срок лечения 3,5 месяца (в аппарате). В стационаре 10 дней.
Стоимость операции 250 000 тенге + койко - день 5000 тенге (проживание в 2-х местной палате с 4-х разовым питанием)х 10 дней.
Список анализов viewtopic.php?f=27&t=32