За мечтой!
- Sekretar Onipko
- Сообщения: 4551
- Зарегистрирован: 16 авг 2011, 22:12
- Sekretar Onipko
- Сообщения: 4551
- Зарегистрирован: 16 авг 2011, 22:12
Re: За мечтой!
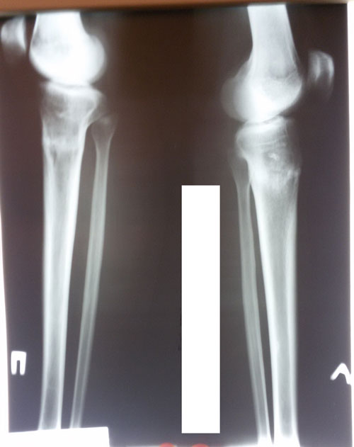
Рентген контроль в 2 месяца с момента снятия аппаратов.
Здравствуйте, А.! По рентгену всё отлично! Ограничений в нагрузках нет, каблуки разрешены. Для разработки суставов - массаж, гимнастика, очень хорошо помогает боди балет. Хорошие результаты после его занятий, наши пациентки оценили.
Боди-балет – это уникальная разновидность танцевальной тренировки, сочетающая упрощенную технику классического балета с элементами пилатеса, йоги, каланетики. Как и любая другая танцевальная тренировка, боди-балет направлен, в первую очередь, на развитие гибкости (позвоночник, суставы, сухожилия), растяжку, эластичности мышц.
Здравствуйте, А.! По рентгену всё отлично! Ограничений в нагрузках нет, каблуки разрешены. Для разработки суставов - массаж, гимнастика, очень хорошо помогает боди балет. Хорошие результаты после его занятий, наши пациентки оценили.
Боди-балет – это уникальная разновидность танцевальной тренировки, сочетающая упрощенную технику классического балета с элементами пилатеса, йоги, каланетики. Как и любая другая танцевальная тренировка, боди-балет направлен, в первую очередь, на развитие гибкости (позвоночник, суставы, сухожилия), растяжку, эластичности мышц.