Loginza,читай внимательно дневники девочек, лучше рассматривай и изучай исходники и результаты в галерее.
В общем будь в теме,изучай другие форумы по этой тематике. Не наделай моих ошибок (я про медиал вообще не знала,а мне необходима была именно медиализация в разумных пределах) или если бы мне объяснил врач перед операцией,что существует несколько Методик, всего этого недовольства не было бы.
После такой операции,после того что мы пережили,нужен не просто хороший результат,а самый ЛУЧШИЙ!
Шанс!
- Sekretar Onipko
- Сообщения: 4551
- Зарегистрирован: 16 авг 2011, 22:12
- Sekretar Onipko
- Сообщения: 4551
- Зарегистрирован: 16 авг 2011, 22:12
Re: Шанс!
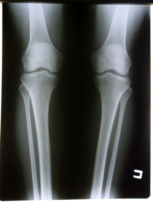
Дата операции 16.06.2014г.
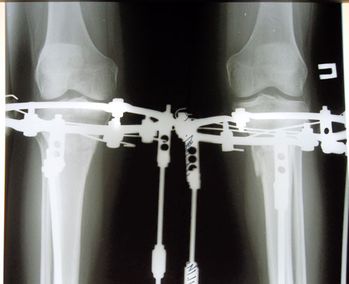
Дата снятия аппаратов 04.11.2014г.
Срок лечения 138 дней.

Дата снятия аппаратов 04.11.2014г.
Срок лечения 138 дней.

- Sekretar Onipko
- Сообщения: 4551
- Зарегистрирован: 16 авг 2011, 22:12
Re: Шанс!
рентген в день снятия аппаратов.