Воплощение мечты!
- Fialka
- Сообщения: 70
- Зарегистрирован: 29 авг 2013, 21:30
- Хирург: Н.Н. Онипко
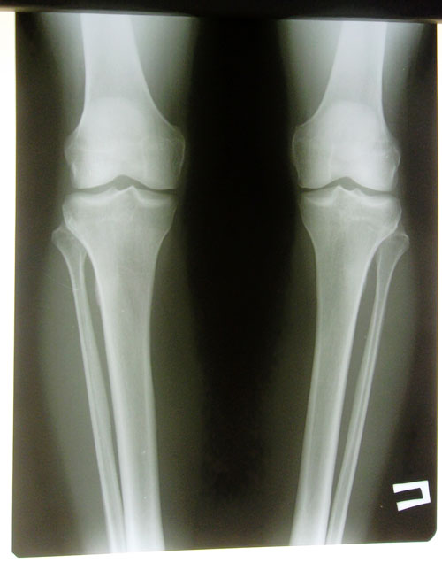
- Диагноз: О-образная деформация ног
- Какую операцию Вы планируете сделать.: исправить ножки
- Дата операции.: 29.08.2013
- Откуда: Алматы
Re: Воплощение мечты!
Уауу Изюминка!!!! Поздравляю вас дорогая, легкого аппаратного периода вам! У вас очень хороший исходник, аккуратные, внутренний контур хороший, результат будет отличный! Помню ваши горящие от счастья и от волнения глаза, ваше переживание, а вот и теперь всё позади!
Пишите на форуме!
Пишите на форуме!
- Sekretar Onipko
- Сообщения: 4551
- Зарегистрирован: 16 авг 2011, 22:12
- Sekretar Onipko
- Сообщения: 4551
- Зарегистрирован: 16 авг 2011, 22:12
Re: Воплощение мечты!
Основные крутки закончены!
- Sekretar Onipko
- Сообщения: 4551
- Зарегистрирован: 16 авг 2011, 22:12
- Sekretar Onipko
- Сообщения: 4551
- Зарегистрирован: 16 авг 2011, 22:12
Re: Воплощение мечты!
57 ДНЕЙ С МОМЕНТА ОПЕРАЦИИ.
- Sekretar Onipko
- Сообщения: 4551
- Зарегистрирован: 16 авг 2011, 22:12
- Sekretar Onipko
- Сообщения: 4551
- Зарегистрирован: 16 авг 2011, 22:12
Re: Воплощение мечты!
Дата операции 14.11.2013г.
Дата снятия аппаратов 24.03.2014г.
Срок лечения 130 дней.

Дата снятия аппаратов 24.03.2014г.
Срок лечения 130 дней.

- Sekretar Onipko
- Сообщения: 4551
- Зарегистрирован: 16 авг 2011, 22:12
Re: Воплощение мечты!
Дата операции 14.11.2013г.
Дата снятия аппаратов 24.03.2014г.
Срок лечения 130 дней.

Дата снятия аппаратов 24.03.2014г.
Срок лечения 130 дней.

- Sekretar Onipko
- Сообщения: 4551
- Зарегистрирован: 16 авг 2011, 22:12
Re: Воплощение мечты!
2 месяца с момента снятия аппаратов.
Пациентке разрешена нагрузка без ограничений!
Пациентке разрешена нагрузка без ограничений!
- Sekretar Onipko
- Сообщения: 4551
- Зарегистрирован: 16 авг 2011, 22:12