Красивые ножки!
- Sekretar Onipko
- Сообщения: 4551
- Зарегистрирован: 16 авг 2011, 22:12
Re: Красивые ножки!
Заезд в июне 2013г.
Коллективное поздравление Ягодки со снятием аппаратов!
Коллективное поздравление Ягодки со снятием аппаратов!

- Sekretar Onipko
- Сообщения: 4551
- Зарегистрирован: 16 авг 2011, 22:12
- Yagodka
- Сообщения: 129
- Зарегистрирован: 13 мар 2013, 21:01
- Хирург: Онипко Н.Н.
- Диагноз: о-образная деформация нижних конечностей
- Дата операции.: 12.03.2013
- Откуда: Казахстан
Re: Красивые ножки!
привет,ты у меня милашка !!!!!
такая милая !!!!!!!!
крутки начались ????? не больно ?????
через неделю будешь красавицей !!!!!!!
кушай хорошо и много ходи !!!!!!!!!!!
передавай привет соседке по палате и поцелуй маленькую принцессу !!!!!!
такая милая !!!!!!!!
крутки начались ????? не больно ?????
через неделю будешь красавицей !!!!!!!
кушай хорошо и много ходи !!!!!!!!!!!
передавай привет соседке по палате и поцелуй маленькую принцессу !!!!!!
- Sekretar Onipko
- Сообщения: 4551
- Зарегистрирован: 16 авг 2011, 22:12
- Sekretar Onipko
- Сообщения: 4551
- Зарегистрирован: 16 авг 2011, 22:12
- Simona
- Сообщения: 64
- Зарегистрирован: 02 июл 2013, 21:16
- Хирург: Н.Н. Онипко
- Диагноз: О-образная деформация ног
- Какую операцию Вы планируете сделать.: исправить ножки
- Дата операции.: 02.07.2013
- Откуда: Алматы
Re: Красивые ножки!
Привет,Penelopa. Как дела и ножки? Наверное, уже бегаешь? Хотела позвонить, да при смене телефона твой номер не сохранился. Скинь мне смс с номером на сотку. Отеки прошли? Вообще, как себя чувствуешь? Когда планируешь на снятие? Пиши. Не пропадай. 

- Sekretar Onipko
- Сообщения: 4551
- Зарегистрирован: 16 авг 2011, 22:12
- Sekretar Onipko
- Сообщения: 4551
- Зарегистрирован: 16 авг 2011, 22:12
- Sekretar Onipko
- Сообщения: 4551
- Зарегистрирован: 16 авг 2011, 22:12
Re: Красивые ножки!
Дата операции 20.06.2013г.
Дата снятия аппаратов 29.10.2013г.
Срок лечения 128 дней.

Дата снятия аппаратов 29.10.2013г.
Срок лечения 128 дней.

- Sekretar Onipko
- Сообщения: 4551
- Зарегистрирован: 16 авг 2011, 22:12
Re: Красивые ножки!
Дата операции 20.06.2013г.
Дата снятия аппаратов 29.10.2013г.
Срок лечения 128 дней.

Дата снятия аппаратов 29.10.2013г.
Срок лечения 128 дней.

- Sekretar Onipko
- Сообщения: 4551
- Зарегистрирован: 16 авг 2011, 22:12
- Sekretar Onipko
- Сообщения: 4551
- Зарегистрирован: 16 авг 2011, 22:12
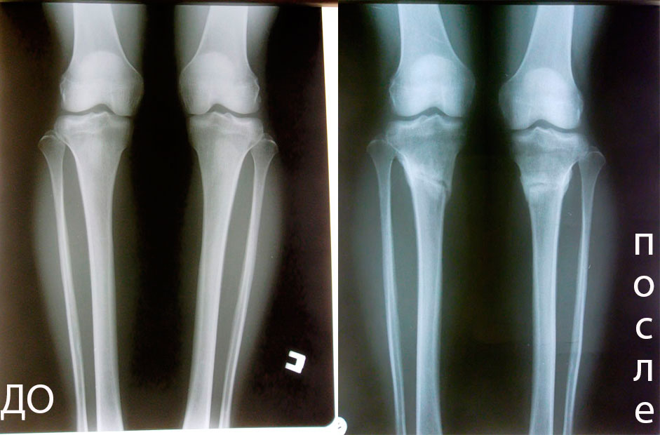
Re: Красивые ножки!
Рентген в 1,5 месяца после снятия аппаратов!
Деформация исправлена, ось идеально ровная!
Сращение отличное, начинаем интенсивно накачивать мышцы, формировать контур. Каблук разрешён 5-6 см, через 1,5 месяца ждём рентген контроль!
Деформация исправлена, ось идеально ровная!
Сращение отличное, начинаем интенсивно накачивать мышцы, формировать контур. Каблук разрешён 5-6 см, через 1,5 месяца ждём рентген контроль!
- Sekretar Onipko
- Сообщения: 4551
- Зарегистрирован: 16 авг 2011, 22:12
Re: Красивые ножки!
Надколенники смотрят ровно, ось ровная. Физические нагрузки без ограничений!