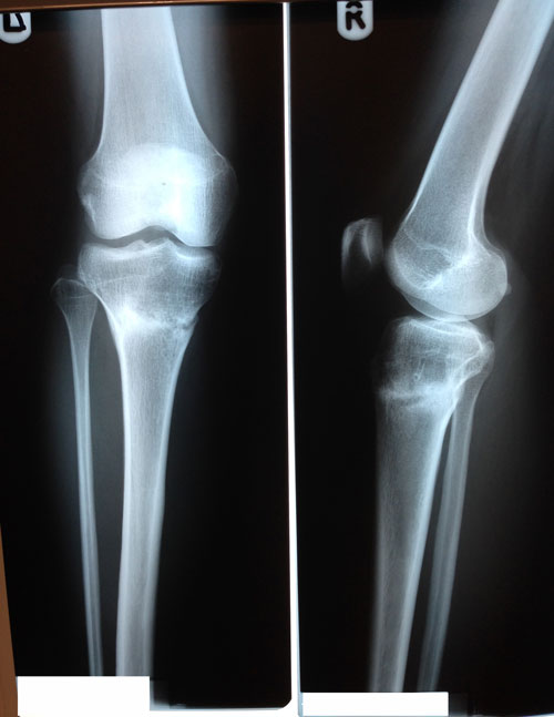
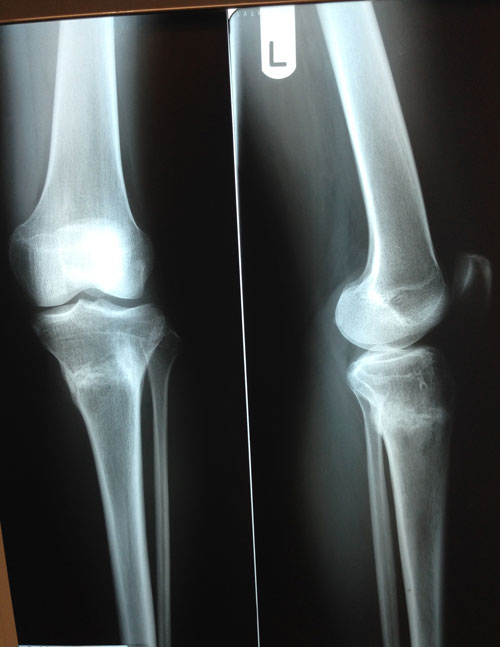
Дата снятия аппаратов 06.11.02013г.
Срок лечения 107 дней.




Здравствуйте, Мальвина! Мы очень рады за Ваши успехи и спасибо за тёплые и приятные слова!Наталья, здравствуйте, как ваши дела? Как дела у нашего дорогого Николая Николаевича?
У меня все отлично, ножки чувствуют себя прекрасно, не болят. Уже неделя прошла со дня снятия и наконец-то пропал страх того, что ноги просядут :) а то я всю неделю бегала к зеркалу, проверяла, не скривились ли))) и близких доставала)))
Походка пока не восстановилась полностью, но я жду, когда ножки окончательно окрепнут, чтобы поработать над походкой:)
Делаю зарядку для ног, лежа. Стараюсь беречься, дома на свой второй этаж поднимаюсь на лифте.
Ножками очень довольна!!! На улице хожу в юбочках, не стесняюсь!
Огромное спасибо Николаю Николаевичу за мои ножки, за его невероятно тяжелый труд!!! Всю жизнь буду ему благодарна! Дай Бог ему крепкого здоровья, а его замечательной клинике процветания!!! Побольше счастливых и благодарных пациентов!!!
Спасибо Вам, Наталья, за помощь, оперативность, заботу!!! Оставайтесь всегда такой же молодой и красивой!!!
Всем-всем-всем большой привет!
Мальвина

Здравствуйте, Наталья! Поздравляю Вас, Николая Николаевича и весь персонал клиники с наступающим Новым Годом! Желаю вам здоровья, успехов, счастья и процветания!