В наших рядах прибыло.

В этом разделе каждый желающий может разместить свой рассказ об операции по исправлению "О-образной" кривизны ног. Здесь вы можете вести свой дневник, или разместить рассказ целиком. Приветствуется подробность изложения и размещение фото и видео материала.
Аватара пользователя
Fialka
Сообщения: 70
Зарегистрирован: 29 авг 2013, 21:30
Хирург: Н.Н. Онипко
Диагноз: О-образная деформация ног
Какую операцию Вы планируете сделать.: исправить ножки
Дата операции.: 29.08.2013
Откуда: Алматы

Re: В наших рядах прибыло.

Сообщение Fialka »

Спасибо Симона за подробное описание, это не только мне и другим девчёнкам пригодиться! Если честно я до оп не читала дневники, о чём сейчась жалею. Да и свежие читать интереснее чем перелистывать старые, поэтому спасибо вам большое за ответ! 79299472
Аватара пользователя
Sekretar Onipko
Сообщения: 4551
Зарегистрирован: 16 авг 2011, 22:12

Re: В наших рядах прибыло.

Сообщение Sekretar Onipko »

Добрый день, Наталья. Поздравляю Вас с Николай Николаевичем с Наступающим Новым годом! Счастья, здоровья и удачи Вам в новом году. Благодаря Вам, я очень-очень счастлива. Огромное спасибо. У меня все хорошо. Через Розочку передала рентген в 1,5 месяца. Передавайте привет нашему дорогому НН. До свидания. Симона.
Здравствуйте, Симона! Спасибо большое за поздравления! И Вас с наступающим Новым годом! Самый лучший подарок - это ваша благодарность и счастливые глаза! novyj_god_105
Аватара пользователя
Sekretar Onipko
Сообщения: 4551
Зарегистрирован: 16 авг 2011, 22:12

Re: В наших рядах прибыло.

Сообщение Sekretar Onipko »

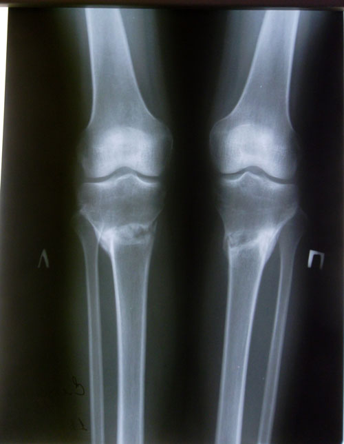
Рентген в 1,5 месяца после снятия аппаратов.
Здравствуйте, Симона! По результатам рентгеновских снимков, поберегитесь ещё месяц от физ. нагрузок и тяжестей. А так, всё хорошо! Через 1,5 месяца ждём повторный рентген. animashka179
Вложения
SAM_7334.JPG
SAM_7333.JPG
Аватара пользователя
Sekretar Onipko
Сообщения: 4551
Зарегистрирован: 16 авг 2011, 22:12

Re: В наших рядах прибыло.

Сообщение Sekretar Onipko »

Добрый вечер, Наталья. Еще раз с наступающим. Отправляю Вам ножки с корпоратива. Пока без каблуков.

Ножки супер! animashka136
Вложения
image.jpg
freya
Сообщения: 96
Зарегистрирован: 05 окт 2013, 17:48

Re: В наших рядах прибыло.

Сообщение freya »

Ножки вообще супер, да мужчинам наверное рядом с Вами нелегко приходится!!!!!!!!!!
Alima
Сообщения: 128
Зарегистрирован: 05 сен 2013, 11:00

Re: В наших рядах прибыло.

Сообщение Alima »

Классные ножки, Симона! Так рада за тебя! Очень хочу такой же результат, но учитывая мой исходник, знаю, что получаться другие ножки)), в любом случае в сто раз лучше исходника
Аватара пользователя
Simona
Сообщения: 64
Зарегистрирован: 02 июл 2013, 21:16
Хирург: Н.Н. Онипко
Диагноз: О-образная деформация ног
Какую операцию Вы планируете сделать.: исправить ножки
Дата операции.: 02.07.2013
Откуда: Алматы

Re: В наших рядах прибыло.

Сообщение Simona »

Alima писал(а):Классные ножки, Симона! Так рада за тебя! Очень хочу такой же результат, но учитывая мой исходник, знаю, что получаться другие ножки)), в любом случае в сто раз лучше исходника
Приветики Алима, Фрея и все ровноножки и кривоножки. Поздравляю с новым годом. Всех благ и, самое главное, исполнения всех желаний!!! Спасибо за комплименты. Я сама очень счастлива. Ведь год назад я даже не знала, что новый год встречу в мини платье. А сколько уверенности у меня сейчас, да и внимания. Если раньше я покупала все то, что скрывает кривизну, сейчас я беру то, что мне нравится. А какое это доставляет удовольствие!!! Спасибо нашему дорогому НН. Хочется ему пожелать побольше клиентов и только благодарных. Как чувствуешь себя Алима? Когда планируешь на снятие? Напиши свой номер мне. С заменой телефона осталась без контакта.
Девочки, которые планируют на оп, не слушайте никого. Если есть возможность и здоровье, бегите за ровными ножками и именно К НН. Ведь впереди вся жизнь без комплексов. novyj_god_122 novyj_god_32 shariki
Alima
Сообщения: 128
Зарегистрирован: 05 сен 2013, 11:00

Re: В наших рядах прибыло.

Сообщение Alima »

Спасибо за поздравление! И тебе желаю всех благ, женского счастья, здоровья и любви! Номер скинула тебе. Спасибо, у меня все хорошо. С каждым днем увереннее чувствую себя! Снимать планирую в три месяца, но как говорится мы предполагаем, аллах располагает. Верю и надеюсь на все лучшее! telka Целую, пока!
Аватара пользователя
Malvina
Сообщения: 45
Зарегистрирован: 20 июл 2013, 17:41
Хирург: Н.Н. Онипко
Диагноз: О-образная деформация ног
Какую операцию Вы планируете сделать.: исправить ножки
Дата операции.: 19.07.2013

Re: В наших рядах прибыло.

Сообщение Malvina »

Симона моя!!! Ну ты в курсе, что я фанат твоих ног!!! Красавица!!! 23100000
rusalka
Сообщения: 37
Зарегистрирован: 31 май 2013, 12:29

Re: В наших рядах прибыло.

Сообщение rusalka »

Симона ты сногшибательна!!! Так держать!!!
Аватара пользователя
Sekretar Onipko
Сообщения: 4551
Зарегистрирован: 16 авг 2011, 22:12

Re: В наших рядах прибыло.

Сообщение Sekretar Onipko »

Здравствуйте, Симона! По результатам рентген контроля, всё отлично! Разрешено всё без ограничений!
Аватара пользователя
Sekretar Onipko
Сообщения: 4551
Зарегистрирован: 16 авг 2011, 22:12

Re: В наших рядах прибыло.

Сообщение Sekretar Onipko »

Добрый день, Наталья. Как Вы поживаете? Как наш дорогой Николай Николаевич? Как наша родная Маришка? Очень давно не связывалась с Вами. Извините. У меня все очень хорошо. Уже почти год, как сняли аппараты и год счастливой жизни. За это время я изменилась на все 200 процентов. Я стала уверенна, никаких комплексов, все возможные наряды-мини, сигаретки. И все это, конечно, благодаря Вам. Я хочу выразить огромную благодарность Вам и Николаю Николаевичу. Дай бог Вам здоровья и успехов в дальнейшей работе. Спасибо. До свидания.
Здравствуйте, Симона! Спасибо за фото и слова благодарности, очень - очень приятно, когда приносишь людям пользу! Желаем всех благ, чтобы всё в Вашей жизни было на 200 %, чтобы ножки радовали и останавливали все взгляды окружающих на себе! Чтобы самые красивые и откровенные наряды были Вашими! Живите полной и уверенной жизнью на ровных, красивых и здоровых ножках!

P.S. хоть изредка заходите в свой дневничок и оставляйте пару фраз о своих изменениях и самочувствие.
Вложения
image-19-10-14-08-48.jpg
Ответить