Неземная красота!
- Imperatrica
- Сообщения: 3
- Зарегистрирован: 14 июн 2013, 23:01
- Хирург: Н.Н. Онипко
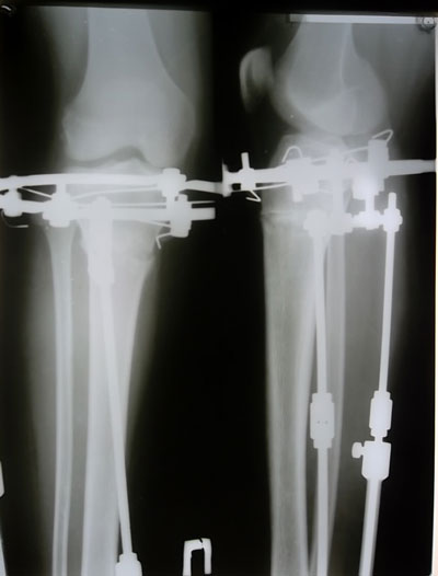
- Диагноз: О-образная деформация нижних конечностей
- Дата операции.: 13.06.2013
- Откуда: Кызыл орда
- Imperatrica
- Сообщения: 3
- Зарегистрирован: 14 июн 2013, 23:01
- Хирург: Н.Н. Онипко
- Диагноз: О-образная деформация нижних конечностей
- Дата операции.: 13.06.2013
- Откуда: Кызыл орда
- Sekretar Onipko
- Сообщения: 4551
- Зарегистрирован: 16 авг 2011, 22:12
- Sekretar Onipko
- Сообщения: 4551
- Зарегистрирован: 16 авг 2011, 22:12
- Sekretar Onipko
- Сообщения: 4551
- Зарегистрирован: 16 авг 2011, 22:12
Re: Неземная красота!
Заезд в июне 2013г.
Коллективное поздравление Ягодки со снятием аппаратов!
Коллективное поздравление Ягодки со снятием аппаратов!

- Sekretar Onipko
- Сообщения: 4551
- Зарегистрирован: 16 авг 2011, 22:12
- Yagodka
- Сообщения: 129
- Зарегистрирован: 13 мар 2013, 21:01
- Хирург: Онипко Н.Н.
- Диагноз: о-образная деформация нижних конечностей
- Дата операции.: 12.03.2013
- Откуда: Казахстан
Re: Неземная красота!
привет ,ты как кошечка сама по себе !!!!
молодая ,общайся с девчонками -получай побольше положительных эмоций,
ходи,ходи,ходи !!!!!!!!!!!
не болей !!!!!
молодая ,общайся с девчонками -получай побольше положительных эмоций,
ходи,ходи,ходи !!!!!!!!!!!
не болей !!!!!
Re: Неземная красота!
Imperatrica, привет! как ты? как ножки?
- Skarlet
- Сообщения: 110
- Зарегистрирован: 06 мар 2013, 19:12
- Хирург: Онипко Н.Н.
- Диагноз: О- образная деформация ног
- Дата операции.: 06.03.2013
- Откуда: Казахстан
Re: Неземная красота!
Гуляй, шальная, императрица!
Вся "кривоногия" берет с тебя пример!!!
Это не я, это Аллегрова так поет. Не виноватая я!
Вся "кривоногия" берет с тебя пример!!!
Это не я, это Аллегрова так поет. Не виноватая я!

- Sekretar Onipko
- Сообщения: 4551
- Зарегистрирован: 16 авг 2011, 22:12
Re: Неземная красота!
20 - ый день после операции.
Новое изобретение доктора Онипко - для смещения наружных мышц к внутреннему контуру.
Новое изобретение доктора Онипко - для смещения наружных мышц к внутреннему контуру.
- Imperatrica
- Сообщения: 3
- Зарегистрирован: 14 июн 2013, 23:01
- Хирург: Н.Н. Онипко
- Диагноз: О-образная деформация нижних конечностей
- Дата операции.: 13.06.2013
- Откуда: Кызыл орда
Re: Неземная красота!
Здравствуйте Н.Н.! Наташа! Домой доехала хорошо,но по дороге заметила что с наружней стороны нижний болт немного открутилась.Дома папа закрутил этот болт на место.Боли нет ,передвигаюсь с помощью костылей очень хорошо,но почему-то правая нога сильно отекает.Ноги стали как надувные подушки.Это нормально?
- Sekretar Onipko
- Сообщения: 4551
- Зарегистрирован: 16 авг 2011, 22:12
Re: Неземная красота!
Здравствуйте, Imperatrica ! Это скорее всего от гипсовых накладок, периодически снимайте их и массируйте икры.
- Sekretar Onipko
- Сообщения: 4551
- Зарегистрирован: 16 авг 2011, 22:12
- Sekretar Onipko
- Сообщения: 4551
- Зарегистрирован: 16 авг 2011, 22:12
Re: Неземная красота!
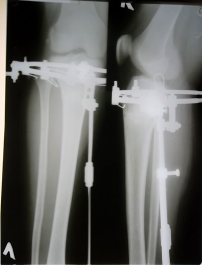
Дата операции 13.06.2013г.
Дата снятия аппаратов 10.09.2013г.
Срок лечения 88 дней.

Дата снятия аппаратов 10.09.2013г.
Срок лечения 88 дней.
