Девочка, мечтающая о красоте и счастье!
- Sekretar Onipko
- Сообщения: 4551
- Зарегистрирован: 16 авг 2011, 22:12
- Sekretar Onipko
- Сообщения: 4551
- Зарегистрирован: 16 авг 2011, 22:12
- Yagodka
- Сообщения: 129
- Зарегистрирован: 13 мар 2013, 21:01
- Хирург: Онипко Н.Н.
- Диагноз: о-образная деформация нижних конечностей
- Дата операции.: 12.03.2013
- Откуда: Казахстан
Re: Девочка, мечтающая о красоте и счастье!
привет,принцесса !
я смотрю у тебя ножки как у модели !!!
круто !!!
пиши ,не забывай
!!!
я смотрю у тебя ножки как у модели !!!
круто !!!
пиши ,не забывай
!!!- Sekretar Onipko
- Сообщения: 4551
- Зарегистрирован: 16 авг 2011, 22:12
- Sekretar Onipko
- Сообщения: 4551
- Зарегистрирован: 16 авг 2011, 22:12
- Sekretar Onipko
- Сообщения: 4551
- Зарегистрирован: 16 авг 2011, 22:12
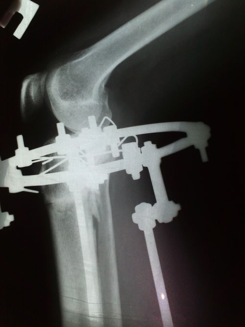
Re: Девочка, мечтающая о красоте и счастье!
38 дней с момента операции.
Ножки в норме, продолжаем фиксацию!
Ножки в норме, продолжаем фиксацию!
- Sneginka
- Сообщения: 120
- Зарегистрирован: 14 мар 2013, 21:37
- Хирург: Онипко Н.Н.
- Диагноз: о-образная деформация ног
- Дата операции.: 14.03.2013
- Откуда: Казахстан
Re: Девочка, мечтающая о красоте и счастье!
Принцесса на горошине как ты там? Мне без тебя скучно, привыкла к тебе в больнице, вспоминаю, как мы с тобой смотрели телек и планировали пойти на передачу "адавай поженимся"... Принцесса, желаю тебе поскорее выйти удачно замуж и оставаться всегда такой же нежной, трогательной и доброй девочкой
- Sekretar Onipko
- Сообщения: 4551
- Зарегистрирован: 16 авг 2011, 22:12
- Sekretar Onipko
- Сообщения: 4551
- Зарегистрирован: 16 авг 2011, 22:12
Re: Девочка, мечтающая о красоте и счастье!
Дата операции 15.03.2013г.
Дата снятия аппаратов 17.05.2013г.
Срок лечения 62 дня.
Дата снятия аппаратов 17.05.2013г.
Срок лечения 62 дня.
- Sekretar Onipko
- Сообщения: 4551
- Зарегистрирован: 16 авг 2011, 22:12
Re: Девочка, мечтающая о красоте и счастье!
Приветики, Принцесса.
Поздравляю со снятием, ты первая ласточка, ножки получились очень красивые, желаю тебе побыстрее восстановиться
. Очень рада за тебя! 
Поздравляю со снятием, ты первая ласточка, ножки получились очень красивые, желаю тебе побыстрее восстановиться
. Очень рада за тебя! 


Я ОЧЕНЬ РАДА ЗА ТЕБЯ!!!!! ПУСТЬ ТЕПЕРЬ У ТЕБЯ НА НОВЫХ НОЖКАХ ВСЕ_ВСЕ БУДЕТ ШИКАРНО!!!!! СЧАСТЬЯ ТЕБЕ и ЛЮБВИ!!!!!!!!!!!! Ты мне стала как сестренка! ЛЮБЛЮ ТЕБЯ!!!