Откровения Люси

В этом разделе каждый желающий может разместить свой рассказ об операции по исправлению "О-образной" кривизны ног. Здесь вы можете вести свой дневник, или разместить рассказ целиком. Приветствуется подробность изложения и размещение фото и видео материала.
Аватара пользователя
Sekretar Onipko
Сообщения: 4551
Зарегистрирован: 16 авг 2011, 22:12

Re: Откровения Люси

Сообщение Sekretar Onipko »

58-й день после операции.
Вложения
DSCN0716.JPG
DSCN0725.JPG
Люси
Сообщения: 14
Зарегистрирован: 03 авг 2012, 20:11

Re: Откровения Люси

Сообщение Люси »

Привет всем,сегодня 74 день после ОП.Чувствую себя хорошо,хожу без костылей,встаю со стула без поддержки.Сегодня ходила гулять,домой пришла в ногах чувствуется тяжесть,боли почти нет,ноют от долгой ходьбы,но терпимо.Сегодня мне написали,что можно приезжать на снятие 15 ноября,жду не дождусь.Осталось совсем немного. vedma vedma vedma
Аватара пользователя
Sekretar Onipko
Сообщения: 4551
Зарегистрирован: 16 авг 2011, 22:12

Re: Откровения Люси

Сообщение Sekretar Onipko »

Дата операции 14.08.2012г.
Дата снятия аппаратов 15.11.2012г.
Срок лечения 90 дней.

В аппаратах в день снятия.
Вложения
SAM_4402.JPG
SAM_4404.JPG
Аватара пользователя
Sekretar Onipko
Сообщения: 4551
Зарегистрирован: 16 авг 2011, 22:12

Re: Откровения Люси

Сообщение Sekretar Onipko »

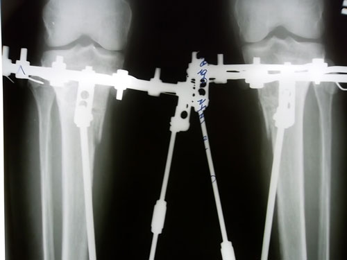
Рентгеновские снимки в день снятия аппаратов.
Вложения
SAM_4423.JPG
SAM_4419.JPG
Аватара пользователя
Sekretar Onipko
Сообщения: 4551
Зарегистрирован: 16 авг 2011, 22:12

Re: Откровения Люси

Сообщение Sekretar Onipko »

Дата операции 14.08.2012г.
Дата снятия аппаратов 15.11.2012г.
Срок лечения 90 дней.
Вложения
SAM_3538.JPG
SAM_3540.JPG
Аватара пользователя
Mara
Сообщения: 6
Зарегистрирован: 15 май 2012, 11:59
Хирург: Онипко Н.Н.
Диагноз: О-образная деформация ног
Дата операции.: 11.05.2012
Откуда: Южн.Каз-я обл-ть.

Re: Откровения Люси

Сообщение Mara »

Привет Люси! Поздравляю с новыми ножками!!! Результат очень-очень хороши. Желаю счастье, успехов и благополучие семье. pozdravlyau
Аватара пользователя
di1001
Сообщения: 58
Зарегистрирован: 30 май 2012, 19:10

Re: Откровения Люси

Сообщение di1001 »

Привет, Люси))))
Ты наверно уже в поезде))) zvonday Как ты себя чувствуешь???Как прошло снятие аппарата???
Я очень за тебя рада, ножки хороши))) pozdravlyau pozdravlyau pozdravlyau
MenStyle
Сообщения: 20
Зарегистрирован: 05 сен 2012, 11:04

Re: Откровения Люси

Сообщение MenStyle »

pozdravlyau buketserdec просто КЛАСС! здоровья, счастья, любви.....
Аватара пользователя
Dalida
Сообщения: 179
Зарегистрирован: 23 май 2012, 19:38
Хирург: Онипко Н.Н.
Диагноз: О- образная деформация нижних конечностей
Дата операции.: 30.01.2013
Дата снятия аппаратов.: 04.05.2013
Срок лечения.: 92 дня
Оценка результата операции.: Супер
Откуда: Актобе

Re: Откровения Люси

Сообщение Dalida »

pusistiki привет,ножки хорошенькие! пусть все в жизни будет хорошо!
Люси
Сообщения: 14
Зарегистрирован: 03 авг 2012, 20:11

Re: Откровения Люси

Сообщение Люси »

Привет всем! Огромное спасибо за поздравления! Отдельное спасибо Николаю Николаевичу и всему мед .персоналу!Приехала с утра в Павлодар на снятие,в 10 утра на снимок,(а сама заранее взяла билет на вечер домой),доктор посмотрел рентген и сказал-"Все отлично,можно снимать!" Укол обезболивающий не делала, так снимали ))))))Вообщем потерпеть можно было.Сняли аппараты очень быстро,сфоткали и всё!!!!!!!!!!!! Я свободна!!!!!!!А вечером уехала домой! Походка конечно еще не как у модели,но потихоньку расхаживаюсьПриехала домой ,набрала ванну и сбылась моя мечта!!!!!!!!! В ногах под коленями еще чувствуется стянутость,как будто мышцы напряжены.Ну а вообщем,я очень рада. Всем привет! Удачи!
Ответить