Исходник
Дата операции - 17 апреля.
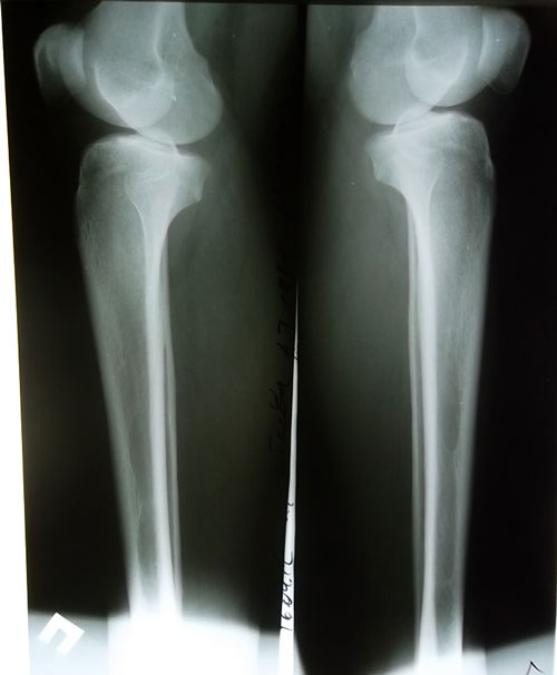
Диагноз: О-образная деформация нижних конечностей, ротация справа.
Вид операции: кортикотомия б/б кости верхней трети, наложение шарнирного коррекционного де ротационного аппарата Илизарова - Онипко.Рентген до операции, прямая проекция.Рентген до операции, боковая проекция.
Дневничок 2400
Re: Дневничок 2400
После исправления деформации, вылезла сильнейшая ротация левого коленного сустава. Сегодня установили деротационную установку на левую ногу. 
- Sekretar Onipko
- Сообщения: 4551
- Зарегистрирован: 16 авг 2011, 22:12
Re: Дневничок 2400
Рентгеновские снимки от 24.07.2012г.прямая проекциябоковая проекция