Зима

В этом разделе каждый желающий может разместить свой рассказ об операции по исправлению "О-образной" кривизны ног. Здесь вы можете вести свой дневник, или разместить рассказ целиком. Приветствуется подробность изложения и размещение фото и видео материала.
Ответить
Аватара пользователя
Sekretar Onipko
Сообщения: 4551
Зарегистрирован: 16 авг 2011, 22:12

Зима

Сообщение Sekretar Onipko »

Исходник - 40 лет.
Дата операции - 25.01.2021
Вложения
image-22-01-21-05-20-7.jpg
image-22-01-21-05-20-1.jpg
Аватара пользователя
Sekretar Onipko
Сообщения: 4551
Зарегистрирован: 16 авг 2011, 22:12

Re: Зима

Сообщение Sekretar Onipko »

до круток
Вложения
image-02-02-21-03-13-1.jpg
image-02-02-21-03-13.jpg
Аватара пользователя
Sekretar Onipko
Сообщения: 4551
Зарегистрирован: 16 авг 2011, 22:12

Re: Зима

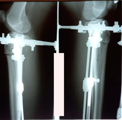
Сообщение Sekretar Onipko »

на фиксации
Вложения
image-22-01-21-05-20-7.jpg
image-22-01-21-05-20-3.jpg
Аватара пользователя
Sekretar Onipko
Сообщения: 4551
Зарегистрирован: 16 авг 2011, 22:12

Re: Зима

Сообщение Sekretar Onipko »

на фиксации
Вложения
image-19-02-21-11-29-5.jpg
image-19-02-21-11-29-4.jpg
Ответить