Жемчужина

В этом разделе каждый желающий может разместить свой рассказ об операции по исправлению "О-образной" кривизны ног. Здесь вы можете вести свой дневник, или разместить рассказ целиком. Приветствуется подробность изложения и размещение фото и видео материала.
Ответить
Аватара пользователя
Sekretar Onipko
Сообщения: 4551
Зарегистрирован: 16 авг 2011, 22:12

Жемчужина

Сообщение Sekretar Onipko »

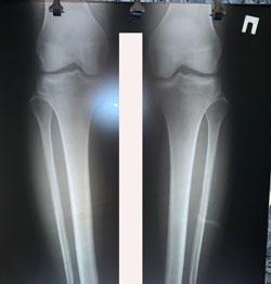
Исходник - 36 лет.
Дата операции - 01.12.2020
Варусная деформация + Ротация с обеих сторон
Вложения
image-04-12-20-11-38-3.jpg
image-04-12-20-11-38.jpg
Аватара пользователя
Sekretar Onipko
Сообщения: 4551
Зарегистрирован: 16 авг 2011, 22:12

Re: Жемчужина

Сообщение Sekretar Onipko »

в процессе
Вложения
image-22-12-20-04-38-7.jpg
image-22-12-20-04-38-8.jpg
Аватара пользователя
Sekretar Onipko
Сообщения: 4551
Зарегистрирован: 16 авг 2011, 22:12

Re: Жемчужина

Сообщение Sekretar Onipko »

в процессе исправления ротации
Вложения
image-05-01-21-06-28-8.jpg
Аватара пользователя
Sekretar Onipko
Сообщения: 4551
Зарегистрирован: 16 авг 2011, 22:12

Re: Жемчужина

Сообщение Sekretar Onipko »

на фиксации
pozdravlyau
Вложения
image-04-12-20-11-38-3.jpg
image-04-12-20-11-38-5.jpg
Ответить