Суена

В этом разделе каждый желающий может разместить свой рассказ об операции по исправлению "О-образной" кривизны ног. Здесь вы можете вести свой дневник, или разместить рассказ целиком. Приветствуется подробность изложения и размещение фото и видео материала.
Ответить
Аватара пользователя
Sekretar Onipko
Сообщения: 4551
Зарегистрирован: 16 авг 2011, 22:12

Суена

Сообщение Sekretar Onipko »

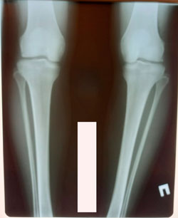
Исходник - 28 лет.
Дата операции - 08.12.2020
Диагноз; Варусная деформация голеней + Ротация с обеих сторон
Вложения
image-07-12-20-06-19-7.jpg
image-08-12-20-09-55-1.jpg
Аватара пользователя
Sekretar Onipko
Сообщения: 4551
Зарегистрирован: 16 авг 2011, 22:12

Re: Суена

Сообщение Sekretar Onipko »

в процессе исправления деформации
Вложения
image-22-12-20-04-38-2.jpg
image-22-12-20-04-38-3.jpg
Ответить