Эмма

В этом разделе каждый желающий может разместить свой рассказ об операции по исправлению "О-образной" кривизны ног. Здесь вы можете вести свой дневник, или разместить рассказ целиком. Приветствуется подробность изложения и размещение фото и видео материала.
Ответить
Аватара пользователя
Sekretar Onipko
Сообщения: 4551
Зарегистрирован: 16 авг 2011, 22:12

Эмма

Сообщение Sekretar Onipko »

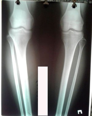
Исходник - 38 лет.
Дата операции - 16.06.2020
Вложения
image-15-06-20-10-30-6.jpg
image-15-06-20-10-30.jpg
Аватара пользователя
Sekretar Onipko
Сообщения: 4551
Зарегистрирован: 16 авг 2011, 22:12

Re: Эмма

Сообщение Sekretar Onipko »

до круток
Вложения
image-23-06-20-09-33-1.jpg
Аватара пользователя
Sekretar Onipko
Сообщения: 4551
Зарегистрирован: 16 авг 2011, 22:12

Re: Эмма

Сообщение Sekretar Onipko »

в процессе работы
Вложения
image-26-06-20-10-34-2.jpg
Аватара пользователя
Sekretar Onipko
Сообщения: 4551
Зарегистрирован: 16 авг 2011, 22:12

Re: Эмма

Сообщение Sekretar Onipko »

Крутки продолжаются!
Вложения
image-02-07-20-02-13-15.jpg
Аватара пользователя
Sekretar Onipko
Сообщения: 4551
Зарегистрирован: 16 авг 2011, 22:12

Re: Эмма

Сообщение Sekretar Onipko »

в процессе работы
Вложения
image-26-06-20-10-34-2.jpg
Аватара пользователя
Sekretar Onipko
Сообщения: 4551
Зарегистрирован: 16 авг 2011, 22:12

Re: Эмма

Сообщение Sekretar Onipko »

последние штрихи
Вложения
image-13-07-20-09-16-13.jpg
Аватара пользователя
Sekretar Onipko
Сообщения: 4551
Зарегистрирован: 16 авг 2011, 22:12

Re: Эмма

Сообщение Sekretar Onipko »

на фиксации
Вложения
image-17-07-20-04-28-4.jpg
image-17-07-20-04-28-3.jpg
Аватара пользователя
Sekretar Onipko
Сообщения: 4551
Зарегистрирован: 16 авг 2011, 22:12

Re: Эмма

Сообщение Sekretar Onipko »

на фиксации
Вложения
image-15-06-20-10-30-6.jpg
image-15-06-20-10-30-4.jpg
Аватара пользователя
Sekretar Onipko
Сообщения: 4551
Зарегистрирован: 16 авг 2011, 22:12

Re: Эмма

Сообщение Sekretar Onipko »

перед снятием аппаратов
Вложения
image-13-10-20-06-04-6.jpg
image-13-10-20-06-04-5.jpg
Аватара пользователя
Sekretar Onipko
Сообщения: 4551
Зарегистрирован: 16 авг 2011, 22:12

Re: Эмма

Сообщение Sekretar Onipko »

Дата операции - 16.06.2020
Дата снятия аппаратов - 13.10.2020
Вложения
image-15-06-20-10-30-6.jpg
image-15-06-20-10-30-4.jpg
Ответить