Мистер Х

В этом разделе каждый желающий может разместить свой рассказ об операции по исправлению "Х-образной" кривизны ног. Здесь вы можете вести свой дневник, или разместить рассказ целиком. Приветствуется подробность изложения и размещение фото и видео материала.
Аватара пользователя
Sekretar Onipko
Сообщения: 4551
Зарегистрирован: 16 авг 2011, 22:12

Мистер Х

Сообщение Sekretar Onipko »

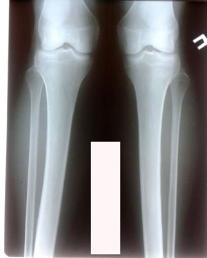
Исходник - 28 лет.
Дата операции - 03.01.2020.
Вложения
IMG_7326-26-11-19-08-35.JPG
IMG_7321-26-11-19-08-35.JPG
Аватара пользователя
Sekretar Onipko
Сообщения: 4551
Зарегистрирован: 16 авг 2011, 22:12

Re: Мистер Х

Сообщение Sekretar Onipko »

перед крутками
Вложения
IMG_8213-13-01-20-12-54.JPG
Аватара пользователя
Sekretar Onipko
Сообщения: 4551
Зарегистрирован: 16 авг 2011, 22:12

Re: Мистер Х

Сообщение Sekretar Onipko »

5 - ый день круток
Вложения
IMG_8235-14-01-20-01-38.JPG
Аватара пользователя
Sekretar Onipko
Сообщения: 4551
Зарегистрирован: 16 авг 2011, 22:12

Re: Мистер Х

Сообщение Sekretar Onipko »

phpBB [youtube]
Аватара пользователя
Sekretar Onipko
Сообщения: 4551
Зарегистрирован: 16 авг 2011, 22:12

Re: Мистер Х

Сообщение Sekretar Onipko »

на фиксации
Вложения
IMG_7324-26-11-19-08-35.JPG
IMG_7323-26-11-19-08-35.JPG
Аватара пользователя
Sekretar Onipko
Сообщения: 4551
Зарегистрирован: 16 авг 2011, 22:12

Re: Мистер Х

Сообщение Sekretar Onipko »

на фиксации
Вложения
IMG_7324-26-11-19-08-35.JPG
IMG_7323-26-11-19-08-35.JPG
Аватара пользователя
Sekretar Onipko
Сообщения: 4551
Зарегистрирован: 16 авг 2011, 22:12

Re: Мистер Х

Сообщение Sekretar Onipko »

phpBB [youtube]
Аватара пользователя
Sekretar Onipko
Сообщения: 4551
Зарегистрирован: 16 авг 2011, 22:12

Re: Мистер Х

Сообщение Sekretar Onipko »

Дата операции - 03.01.2020.
Дата снятия аппаратов - 27.03.2020
Срок сращения - 87 дней.

094f316296.gif
Вложения
image-27-03-20-03-42-7.jpg
IMG_7324-26-11-19-08-35.JPG
IMG_7323-26-11-19-08-35.JPG
Аватара пользователя
Sekretar Onipko
Сообщения: 4551
Зарегистрирован: 16 авг 2011, 22:12

Re: Мистер Х

Сообщение Sekretar Onipko »

1,5 месяца после снятия аппаратов.
Вложения
IMG_7323-26-11-19-08-35.JPG
IMG_7324-26-11-19-08-35.JPG
Аватара пользователя
Sekretar Onipko
Сообщения: 4551
Зарегистрирован: 16 авг 2011, 22:12

Re: Мистер Х

Сообщение Sekretar Onipko »

phpBB [youtube]
Ответить