Лилияя

В этом разделе каждый желающий может разместить свой рассказ об операции по исправлению "О-образной" кривизны ног. Здесь вы можете вести свой дневник, или разместить рассказ целиком. Приветствуется подробность изложения и размещение фото и видео материала.
Ответить
Аватара пользователя
Sekretar Onipko
Сообщения: 4551
Зарегистрирован: 16 авг 2011, 22:12

Лилияя

Сообщение Sekretar Onipko »

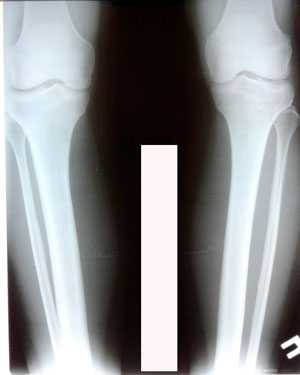
Исходник - 33 года. Бишкек
Дата операции 19.03.2020
Вложения
image-18-03-20-04-27-3.jpg
image-18-03-20-04-27-1.jpg
Аватара пользователя
Sekretar Onipko
Сообщения: 4551
Зарегистрирован: 16 авг 2011, 22:12

Re: Лилияя

Сообщение Sekretar Onipko »

перед крутками
Вложения
image-28-03-20-10-48-1.jpg
Ответить