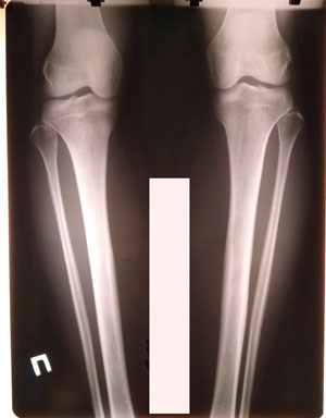
Исходник - 32 года.
Дата операции - 12.09.2019г.
Бабочка
- Sekretar Onipko
- Сообщения: 4551
- Зарегистрирован: 16 авг 2011, 22:12
- Sekretar Onipko
- Сообщения: 4551
- Зарегистрирован: 16 авг 2011, 22:12
- Sekretar Onipko
- Сообщения: 4551
- Зарегистрирован: 16 авг 2011, 22:12
- Sekretar Onipko
- Сообщения: 4551
- Зарегистрирован: 16 авг 2011, 22:12
- Sekretar Onipko
- Сообщения: 4551
- Зарегистрирован: 16 авг 2011, 22:12
Re: Бабочка
Дата операции - 12.09.2019г.
Дата снятия аппаратов - 06.12.2019г.
Срок сращения - 84 дня.
Дата снятия аппаратов - 06.12.2019г.
Срок сращения - 84 дня.

- Sekretar Onipko
- Сообщения: 4551
- Зарегистрирован: 16 авг 2011, 22:12