Листопад
- Sekretar Onipko
- Сообщения: 4551
- Зарегистрирован: 16 авг 2011, 22:12
Листопад
Исходник - 24 года.
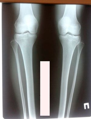
Диагноз: варусная деформация голеней. Ротация с обеих сторон.
Дата операции - 16.10.2019г.
Диагноз: варусная деформация голеней. Ротация с обеих сторон.
Дата операции - 16.10.2019г.
Re: Листопад
Мне не 34, а 24 года))))
-
loginza775
- Сообщения: 5
- Зарегистрирован: 29 окт 2019, 18:49
- Контактная информация:
Re: Листопад
Ксения на связи, ура! Ксюш, ведите пожалуйста свои дневник, а то так давно никто не ведёт. Очень интересно как сейчас там всё происходит. С самого начала, начиная с анализов ☺))))
- Sekretar Onipko
- Сообщения: 4551
- Зарегистрирован: 16 авг 2011, 22:12
Re: Листопад
Здравствуйте, loginza775! Анализы привозите самостоятельно, все по списку в стоимость услуг, они не входят).
- Sekretar Onipko
- Сообщения: 4551
- Зарегистрирован: 16 авг 2011, 22:12
- Sekretar Onipko
- Сообщения: 4551
- Зарегистрирован: 16 авг 2011, 22:12
- Sekretar Onipko
- Сообщения: 4551
- Зарегистрирован: 16 авг 2011, 22:12
- Sekretar Onipko
- Сообщения: 4551
- Зарегистрирован: 16 авг 2011, 22:12
- Sekretar Onipko
- Сообщения: 4551
- Зарегистрирован: 16 авг 2011, 22:12
Re: Листопад
Дата операции - 16.10.2019г.
Дата снятия аппаратов - 16.01.2020 г.
Срок сращения - 90 дней

Дата снятия аппаратов - 16.01.2020 г.
Срок сращения - 90 дней

- Sekretar Onipko
- Сообщения: 4551
- Зарегистрирован: 16 авг 2011, 22:12
Re: Листопад
Дата операции - 16.10.2019г.
Дата снятия аппаратов - 16.01.2020 г.
Срок сращения - 90 дней.

Дата снятия аппаратов - 16.01.2020 г.
Срок сращения - 90 дней.
Re: Листопад
Девочки, если кто поедет с Алматы на операцию, можете взять у меня тёплые чехлы на аппараты) Они вам пригодятся. ksusha201095@mail.ru
- Sekretar Onipko
- Сообщения: 4551
- Зарегистрирован: 16 авг 2011, 22:12
Re: Листопад
Дорогие форумчане, здравствуйте! Вот и прошло полгода после снятия аппаратов
У меня всё прекрасно, ножки не беспокоят, а только радуют! Если честно, я уже забыла что вообще делала операцию) Хожу на каблуках, занимаюсь спортом, лазаю по горам, катаюсь на велосипеде, плаваю, в общем веду свою привычную жизнь! Результатом очень довольна
Желаю всем, кому предстоит исправление ножек, не бояться этого и идти к своей мечте с легким сердцем и положительным настроем! Будьте здоровы!
Желаю всем, кому предстоит исправление ножек, не бояться этого и идти к своей мечте с легким сердцем и положительным настроем! Будьте здоровы!