Венера

В этом разделе каждый желающий может разместить свой рассказ об операции по исправлению "О-образной" кривизны ног. Здесь вы можете вести свой дневник, или разместить рассказ целиком. Приветствуется подробность изложения и размещение фото и видео материала.
Ответить
Аватара пользователя
Sekretar Onipko
Сообщения: 4551
Зарегистрирован: 16 авг 2011, 22:12

Венера

Сообщение Sekretar Onipko »

Пациентка - 37 лет.
Дата операции - 24.10.2019г.
Диагноз: варусная деформация голеней. Ротация с обеих сторон.
Вложения
IMG_6691-25-10-19-11-13.JPG
IMG_6693-25-10-19-11-13.JPG
Аватара пользователя
Sekretar Onipko
Сообщения: 4551
Зарегистрирован: 16 авг 2011, 22:12

Re: Венера

Сообщение Sekretar Onipko »

Перед крутками
Вложения
IMG_6828-31-10-19-07-57.JPG
Аватара пользователя
Sekretar Onipko
Сообщения: 4551
Зарегистрирован: 16 авг 2011, 22:12

Re: Венера

Сообщение Sekretar Onipko »

на фиксации
Вложения
IMG_7170-18-11-19-07-54.JPG
IMG_7169-18-11-19-07-54.JPG
Аватара пользователя
Sekretar Onipko
Сообщения: 4551
Зарегистрирован: 16 авг 2011, 22:12

Re: Венера

Сообщение Sekretar Onipko »

на фиксации
Вложения
IMG_6691-25-10-19-11-13.JPG
IMG_6688-25-10-19-11-13.JPG
Аватара пользователя
Sekretar Onipko
Сообщения: 4551
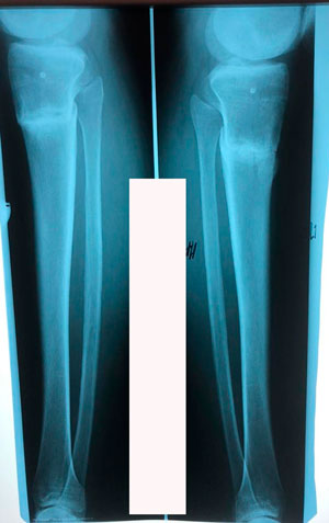
Зарегистрирован: 16 авг 2011, 22:12

Re: Венера

Сообщение Sekretar Onipko »

Рентген в 60 дней.
Вложения
IMG_7852-21-12-19-11-22.JPG
IMG_7854-21-12-19-11-22.JPG
IMG_7855-21-12-19-11-22.JPG
Аватара пользователя
Sekretar Onipko
Сообщения: 4551
Зарегистрирован: 16 авг 2011, 22:12

Re: Венера

Сообщение Sekretar Onipko »

87 дней с момента операции
Вложения
IMG_8420-21-01-20-04-20.JPG
IMG_8419-21-01-20-04-20.JPG
Аватара пользователя
Sekretar Onipko
Сообщения: 4551
Зарегистрирован: 16 авг 2011, 22:12

Re: Венера

Сообщение Sekretar Onipko »

87 дней с момента операции
Вложения
IMG_6691-25-10-19-11-13.JPG
IMG_6688-25-10-19-11-13.JPG
Аватара пользователя
Sekretar Onipko
Сообщения: 4551
Зарегистрирован: 16 авг 2011, 22:12

Re: Венера

Сообщение Sekretar Onipko »

Рентген перед снятием аппаратов.
Вложения
IMG_8452-28-01-20-09-29.JPG
IMG_8451-28-01-20-09-29.JPG
Аватара пользователя
Sekretar Onipko
Сообщения: 4551
Зарегистрирован: 16 авг 2011, 22:12

Re: Венера

Сообщение Sekretar Onipko »

Дата операции - 24.10.2019г.
Дата снятия аппаратов - 22.01.2020
Срок сращения - 89 дней.

094f316296.gif
Вложения
IMG_6691-25-10-19-11-13.JPG
IMG_6690-25-10-19-11-13.JPG
IMG_6688-25-10-19-11-13.JPG
Аватара пользователя
Sekretar Onipko
Сообщения: 4551
Зарегистрирован: 16 авг 2011, 22:12

Re: Венера

Сообщение Sekretar Onipko »

1,5 месяца после снятия аппаратов.
Вложения
image-12-03-20-08-01-1.jpg
image-12-03-20-08-01.jpg
Аватара пользователя
Sekretar Onipko
Сообщения: 4551
Зарегистрирован: 16 авг 2011, 22:12

Re: Венера

Сообщение Sekretar Onipko »

1,5 месяца после снятия аппаратов
Вложения
IMG_6691-25-10-19-11-13.JPG
IMG_6688-25-10-19-11-13.JPG
Ответить