Галатея

В этом разделе каждый желающий может разместить свой рассказ об операции по исправлению "О-образной" кривизны ног. Здесь вы можете вести свой дневник, или разместить рассказ целиком. Приветствуется подробность изложения и размещение фото и видео материала.
Ответить
Аватара пользователя
Sekretar Onipko
Сообщения: 4551
Зарегистрирован: 16 авг 2011, 22:12

Галатея

Сообщение Sekretar Onipko »

Исходник - 24 года.
Диагноз: врождённое укорочение правой голени на 4 см.
Дата операции - 10.07.2019г.
Вложения
IMG_4098-10-07-19-10-17.JPG
IMG_4094-10-07-19-10-17.JPG
IMG_4087-10-07-19-10-17.JPG
Аватара пользователя
Sekretar Onipko
Сообщения: 4551
Зарегистрирован: 16 авг 2011, 22:12

Re: Галатея

Сообщение Sekretar Onipko »

перед крутками
Вложения
IMG_4354-18-07-19-09-56.JPG
Аватара пользователя
Sekretar Onipko
Сообщения: 4551
Зарегистрирован: 16 авг 2011, 22:12

Re: Галатея

Сообщение Sekretar Onipko »

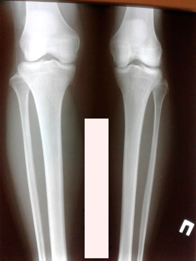
рентген в процессе удлинения
Вложения
IMG_4958-13-08-19-10-48.JPG
Аватара пользователя
Sekretar Onipko
Сообщения: 4551
Зарегистрирован: 16 авг 2011, 22:12

Re: Галатея

Сообщение Sekretar Onipko »

рентген в 90 дней
удлинение на 4,5 см
продолжаем сращение
Вложения
IMG_6309-10-10-19-04-26.JPG
Аватара пользователя
Sekretar Onipko
Сообщения: 4551
Зарегистрирован: 16 авг 2011, 22:12

Re: Галатея

Сообщение Sekretar Onipko »

рентген в 120 дней
Вложения
IMG_6942-07-11-19-10-47.JPG
Аватара пользователя
Sekretar Onipko
Сообщения: 4551
Зарегистрирован: 16 авг 2011, 22:12

Re: Галатея

Сообщение Sekretar Onipko »

Костный регенерат в динамике, в процессе удлинения.
Вложения
месяц после фиксации
месяц после фиксации
месяц в процессе удлинения
месяц в процессе удлинения
2 недели после операции
2 недели после операции
Аватара пользователя
Sekretar Onipko
Сообщения: 4551
Зарегистрирован: 16 авг 2011, 22:12

Re: Галатея

Сообщение Sekretar Onipko »

Костный регенерат в динамике, в процессе удлинения.
Вложения
3 месяца после фиксации
3 месяца после фиксации
2 месяца после фиксации
2 месяца после фиксации
Ответить