♥Марина♥

В этом разделе каждый желающий может разместить свой рассказ об операции по исправлению "О-образной" кривизны ног. Здесь вы можете вести свой дневник, или разместить рассказ целиком. Приветствуется подробность изложения и размещение фото и видео материала.
Ответить
Аватара пользователя
Sekretar Onipko
Сообщения: 4551
Зарегистрирован: 16 авг 2011, 22:12

♥Марина♥

Сообщение Sekretar Onipko »

Исходник - 35 лет.
Дата операции - 07.11.2019г.
Диагноз: Варусная деформация голеней.
Вложения
IMG_6936-07-11-19-09-47.JPG
IMG_6933-07-11-19-09-47.JPG
Аватара пользователя
Sekretar Onipko
Сообщения: 4551
Зарегистрирован: 16 авг 2011, 22:12

Re: ♥Марина♥

Сообщение Sekretar Onipko »

перед крутками
Вложения
IMG_7159-18-11-19-07-51.JPG
Аватара пользователя
Sekretar Onipko
Сообщения: 4551
Зарегистрирован: 16 авг 2011, 22:12

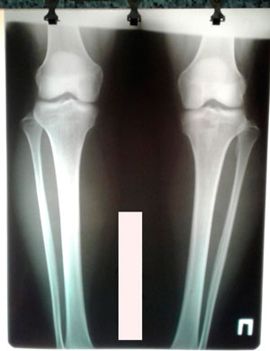
Re: ♥Марина♥

Сообщение Sekretar Onipko »

рентген перед фиксацией аппаратов
Вложения
IMG_7528-03-12-19-12-52.JPG
IMG_7527-03-12-19-12-52.JPG
Аватара пользователя
Sekretar Onipko
Сообщения: 4551
Зарегистрирован: 16 авг 2011, 22:12

Re: ♥Марина♥

Сообщение Sekretar Onipko »

на фиксации
Вложения
IMG_6936-07-11-19-09-47.JPG
IMG_6938-07-11-19-09-47.JPG
Ответить