Сеул

В этом разделе каждый желающий может разместить свой рассказ об операции по исправлению "О-образной" кривизны ног. Здесь вы можете вести свой дневник, или разместить рассказ целиком. Приветствуется подробность изложения и размещение фото и видео материала.
Ответить
Аватара пользователя
Sekretar Onipko
Сообщения: 4551
Зарегистрирован: 16 авг 2011, 22:12

Сеул

Сообщение Sekretar Onipko »

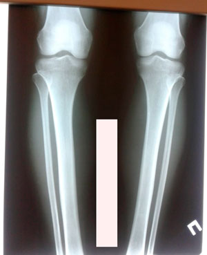
Исходник - 34 года. Южная Корея.
Дата операции - 18.11.2019.
Вложения
IMG_7175-18-11-19-07-55.JPG
IMG_7171-18-11-19-07-55.JPG
Аватара пользователя
Sekretar Onipko
Сообщения: 4551
Зарегистрирован: 16 авг 2011, 22:12

Re: Сеул

Сообщение Sekretar Onipko »

на фиксации
Вложения
IMG_7685-14-12-19-07-41.JPG
IMG_7684-14-12-19-07-41.JPG
Аватара пользователя
Sekretar Onipko
Сообщения: 4551
Зарегистрирован: 16 авг 2011, 22:12

Re: Сеул

Сообщение Sekretar Onipko »

на фиксации
Вложения
IMG_7175-18-11-19-07-55.JPG
IMG_7177-18-11-19-07-54.JPG
Ответить