Липа
- Sekretar Onipko
- Сообщения: 4551
- Зарегистрирован: 16 авг 2011, 22:12
- Sekretar Onipko
- Сообщения: 4551
- Зарегистрирован: 16 авг 2011, 22:12
- Sekretar Onipko
- Сообщения: 4551
- Зарегистрирован: 16 авг 2011, 22:12
- Sekretar Onipko
- Сообщения: 4551
- Зарегистрирован: 16 авг 2011, 22:12
- Sekretar Onipko
- Сообщения: 4551
- Зарегистрирован: 16 авг 2011, 22:12
- Sekretar Onipko
- Сообщения: 4551
- Зарегистрирован: 16 авг 2011, 22:12
- Sekretar Onipko
- Сообщения: 4551
- Зарегистрирован: 16 авг 2011, 22:12
- Sekretar Onipko
- Сообщения: 4551
- Зарегистрирован: 16 авг 2011, 22:12
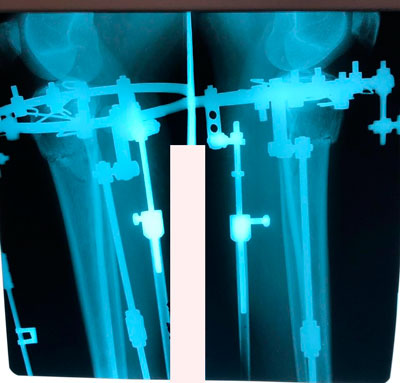
Re: Липа
Дата операции - 10.09.2019г.
Дата снятия аппаратов - 24.12.2019г.
Срок сращения - 103 дня.
Дата снятия аппаратов - 24.12.2019г.
Срок сращения - 103 дня.
- Sekretar Onipko
- Сообщения: 4551
- Зарегистрирован: 16 авг 2011, 22:12
Re: Липа
Дата операции - 10.09.2019г.
Дата снятия аппаратов - 24.12.2019г.
Срок сращения - 103 дня.
Дата снятия аппаратов - 24.12.2019г.
Срок сращения - 103 дня.