Исходник- 34 года.
Дата операции - 07.05.2019г.
Светлая
- Sekretar Onipko
- Сообщения: 4551
- Зарегистрирован: 16 авг 2011, 22:12
- Sekretar Onipko
- Сообщения: 4551
- Зарегистрирован: 16 авг 2011, 22:12
- Sekretar Onipko
- Сообщения: 4551
- Зарегистрирован: 16 авг 2011, 22:12
- Sekretar Onipko
- Сообщения: 4551
- Зарегистрирован: 16 авг 2011, 22:12
- Sekretar Onipko
- Сообщения: 4551
- Зарегистрирован: 16 авг 2011, 22:12
Re: Светлая
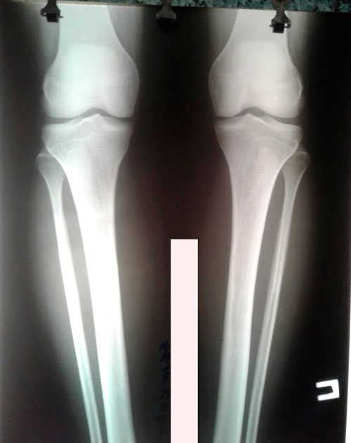
Дата операции - 07.05.2019г.
Дата снятия аппаратов - 20.08.2019г.
Срок сращения - 102 дня.

Дата снятия аппаратов - 20.08.2019г.
Срок сращения - 102 дня.
- Sekretar Onipko
- Сообщения: 4551
- Зарегистрирован: 16 авг 2011, 22:12