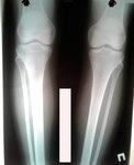
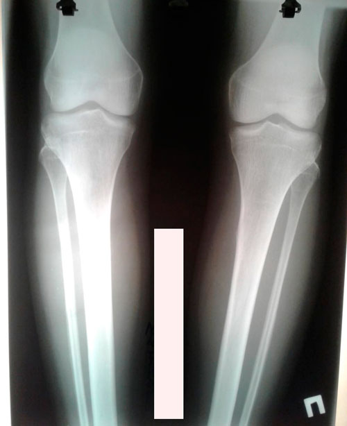
Пациентка - 30 лет.
Дата операции - 04.04.2019г.
Карамелька
- Sekretar Onipko
- Сообщения: 4551
- Зарегистрирован: 16 авг 2011, 22:12
- Sekretar Onipko
- Сообщения: 4551
- Зарегистрирован: 16 авг 2011, 22:12
- Sekretar Onipko
- Сообщения: 4551
- Зарегистрирован: 16 авг 2011, 22:12
- Sekretar Onipko
- Сообщения: 4551
- Зарегистрирован: 16 авг 2011, 22:12
- Sekretar Onipko
- Сообщения: 4551
- Зарегистрирован: 16 авг 2011, 22:12
Re: Карамелька
Дата операции - 04.04.2019г.
Дата снятия аппаратов - 02.07.2019г.
Срок сращения - 89 дней.

Дата снятия аппаратов - 02.07.2019г.
Срок сращения - 89 дней.

- Sekretar Onipko
- Сообщения: 4551
- Зарегистрирован: 16 авг 2011, 22:12