Переписка c пациентами по e-mail
- Sekretar Onipko
- Сообщения: 4551
- Зарегистрирован: 16 авг 2011, 22:12
Re: Переписка c пациентами по e-mail
Добрый день, Николай Николаевич!
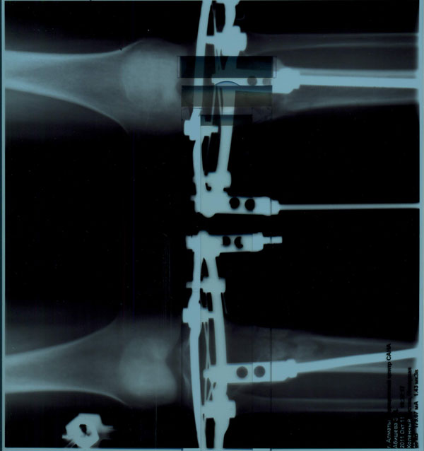
Я - Вишенка! Высылаю вам последние рентген-снимки.
посмотрите, пожалуйста.
Я - Вишенка! Высылаю вам последние рентген-снимки.
посмотрите, пожалуйста.
- Sekretar Onipko
- Сообщения: 4551
- Зарегистрирован: 16 авг 2011, 22:12
Re: Переписка c пациентами по e-mail
Вишенка, приезжайте! С левой ноги 100% снятие аппаратов, на счёт правой ещё подумаем.
Н.Н.
Н.Н.
- Sekretar Onipko
- Сообщения: 4551
- Зарегистрирован: 16 авг 2011, 22:12
- Sekretar Onipko
- Сообщения: 4551
- Зарегистрирован: 16 авг 2011, 22:12
Re: Переписка c пациентами по e-mail
Здравствуйте, на рентгеновских снимках от 11.10.2011г. регенерат очень хорошей плотности. По этому можете спокойно брать билеты на конец месяца, в клинике придётся походить ещё одну недельку на распущенных аппаратах для "воспитания" костной мозоли. Поздравляю, всё идёт по плану!
С уважением,
Н.Н.
С уважением,
Н.Н.
- Sekretar Onipko
- Сообщения: 4551
- Зарегистрирован: 16 авг 2011, 22:12
Re: Переписка c пациентами по e-mail
Таня
Добрый День!
Я собираюсь через неделю прилететь с кзылорды сразу на операцию ,прямых рейсов нет.
Буду в Павлодаре где то около 18-00,ваша клиника наверно будет закрыта,Незнаю куда идти,нет там никого..
И еще...
Получится ли остаться мне на весь срок там,т.е до снятия аппаратов?Скоро Новый Год,наверно вы всех домой отправляете,а мне вроде туда сюда с пересадками в аппаратах тоже нехотелось бы,незнаю как поступить...
Здравствуйте, Татьяна! Прилетайте, клиника работает круглосуточно. Охранник проводит Вас в стационар, там Вас разместят в любое время суток. Остаться Вы у нас можете на всё время лечения и в том числе на новогодние каникулы.
Добрый День!
Я собираюсь через неделю прилететь с кзылорды сразу на операцию ,прямых рейсов нет.
Буду в Павлодаре где то около 18-00,ваша клиника наверно будет закрыта,Незнаю куда идти,нет там никого..
И еще...
Получится ли остаться мне на весь срок там,т.е до снятия аппаратов?Скоро Новый Год,наверно вы всех домой отправляете,а мне вроде туда сюда с пересадками в аппаратах тоже нехотелось бы,незнаю как поступить...
Здравствуйте, Татьяна! Прилетайте, клиника работает круглосуточно. Охранник проводит Вас в стационар, там Вас разместят в любое время суток. Остаться Вы у нас можете на всё время лечения и в том числе на новогодние каникулы.
- Sekretar Onipko
- Сообщения: 4551
- Зарегистрирован: 16 авг 2011, 22:12
Re: Переписка c пациентами по e-mail
Анар
Здравствуйте, Николай Николаевич!
Меня зовут Анар. У меня 'О'-образная кривизна ног. Хотелось бы провести хирургическое вмешательство с Вашей помощью. Однако, учитывая, что с 15 января 2012 года у меня начнутся занятия в Российском университете, хотелось бы знать возможно ли успеть сделать операцию до этого времени и восстановиться. Состояние здоровья у меня хорошее. Думаю, анализы будут в норме. Жду с нетерпением Вашего ответа и одновременно хочу сказать, что я полностью готова ехать в Вашу клинику хоть завтра, зная что Вы профессионал своего дела, ведь за эти годы Вы подарили радость многим людям.
Здравствуйте, Николай Николаевич!
Меня зовут Анар. У меня 'О'-образная кривизна ног. Хотелось бы провести хирургическое вмешательство с Вашей помощью. Однако, учитывая, что с 15 января 2012 года у меня начнутся занятия в Российском университете, хотелось бы знать возможно ли успеть сделать операцию до этого времени и восстановиться. Состояние здоровья у меня хорошее. Думаю, анализы будут в норме. Жду с нетерпением Вашего ответа и одновременно хочу сказать, что я полностью готова ехать в Вашу клинику хоть завтра, зная что Вы профессионал своего дела, ведь за эти годы Вы подарили радость многим людям.
- Sekretar Onipko
- Сообщения: 4551
- Зарегистрирован: 16 авг 2011, 22:12
Re: Переписка c пациентами по e-mail
Здравствуйте, Анар! Если Вы хотите успеть до назначенного срока, то Вам надо поторопиться. Анализы сдадите в клинике, напоминаем: анализы с утра на голодный желудок.
С уважением,
Н.Н.
С уважением,
Н.Н.
- Sekretar Onipko
- Сообщения: 4551
- Зарегистрирован: 16 авг 2011, 22:12
- Sekretar Onipko
- Сообщения: 4551
- Зарегистрирован: 16 авг 2011, 22:12
- Sekretar Onipko
- Сообщения: 4551
- Зарегистрирован: 16 авг 2011, 22:12
Re: Переписка c пациентами по e-mail
Здравствуйте, Евгений! Судя по фото у Вашего ребёнка укорочение и деформация левой ноги. Это может быть или врождённая патология, после перенесённого гематогенного остеомиелита или: для уточнения диагноза и дальнейшего лечения необходимо привезти Вашего ребёнка в клинику для очной консультацию у доктора Онипко Н.Н.
- Sekretar Onipko
- Сообщения: 4551
- Зарегистрирован: 16 авг 2011, 22:12
Re: Переписка c пациентами по e-mail
Салтанат
Здравствуйте многоуважаемый доктор! Меня зовут Салтанат я пишу вам из города Астаны. Моя самая заветная мечта иметь красивые прямые ножки. Я планирую сделать опрецию в начале следующего года. Но не знаю как сообщить это мужу. Не хочу, чтоб кто-то из родствеников знал истинную причину. Подскажите, что мне им сказать. И еще немаловажный вопрос. Мы с сетрой близняшки. И вместе хотим сделать опреацию. Так как являимся гос. служащими и зар. плавта совсем не большая. Можем мы расчитывать на скидку....
Заранее Вас благодарю. Спасибо!
Салтанат
Здравствуйте, Салтанат! Мужьям говорят о том, что едут лечить боли в коленных суставах или что то на подобии этого. Как сёстрам близняшкам скидку гарантируем.
С уважением,
секретарь.
Здравствуйте многоуважаемый доктор! Меня зовут Салтанат я пишу вам из города Астаны. Моя самая заветная мечта иметь красивые прямые ножки. Я планирую сделать опрецию в начале следующего года. Но не знаю как сообщить это мужу. Не хочу, чтоб кто-то из родствеников знал истинную причину. Подскажите, что мне им сказать. И еще немаловажный вопрос. Мы с сетрой близняшки. И вместе хотим сделать опреацию. Так как являимся гос. служащими и зар. плавта совсем не большая. Можем мы расчитывать на скидку....
Заранее Вас благодарю. Спасибо!
Салтанат
Здравствуйте, Салтанат! Мужьям говорят о том, что едут лечить боли в коленных суставах или что то на подобии этого. Как сёстрам близняшкам скидку гарантируем.
С уважением,
секретарь.
- Sekretar Onipko
- Сообщения: 4551
- Зарегистрирован: 16 авг 2011, 22:12
Re: Переписка c пациентами по e-mail
Я завтра 7 ноября прилечу вечером к в с кзылорды к вам,я уже писала вам,сейчас с другого эмейл пишу...
Запишите меня на 8 на операцию сразу,не хочу терять время.
Я звонила неделю назад..
Операция будет на следующий день при наличии анализов.
Запишите меня на 8 на операцию сразу,не хочу терять время.
Я звонила неделю назад..
Операция будет на следующий день при наличии анализов.
- Sekretar Onipko
- Сообщения: 4551
- Зарегистрирован: 16 авг 2011, 22:12
Re: Переписка c пациентами по e-mail
Настя
Здравствуйте! У меня искривление ног, я бы хотела у вас лечиться. Сколько будет стоить все лечение и провождение в стационаре?
Здравствуйте, Настя!
Стоимость операции 1500 евро.
Проживание в стационаре: койко-день- 3500 тенге ( 700 рублей).
Сюда входит: 3-х разовое питание, мед.обслуживание, проживание в 2-х местной палате.
В палатах повышенной комфортности- 8000 тенге. В палате люкс от 10000- 15000 тенге.
Обязательное нахождение в стационаре 3 недели.
Срок лечения (в аппаратах) 2-2,5 месяца.
Список анализов необходимых для операции:
1. ОАК (общий анализ крови)
2. ОАМ (общий анализ мочи)
3. Время кровотечения, длительность свёртывания.
4. Группа крови, резус фактор.
5. Биохимия крови (печёночные и почечные)
6. Кровь на СПИД и RV
7. ЭКГ
8. Консультации специалистов: терапевт (для детей- педиатр), гинеколог, стоматолог, ЛОР-врач.
9. Справка эпид-окружение.
10. Кал на яйца-глист и дез.группу.
11. Рентгеновские снимки делаются непосредственно в клинике.
Эти анализы можно пройти по месту жительства. Они действительны в течении 10 дней.
Все анализы и консультации специалистов можно пройти в клинике в течении одного дня.
В среднем стоимость всех перечисленных анализов в пределах 15000 тенге.
Напоминаем!!! Анализы сдаются только на голодный желудок.
Ознакомьтесь с нашим форумом, найдёте много полезной информации для себя. На любые вопросы косающиеся Вашей проблнмы ответят наши пациентки с удовольствием.
Перед приездом, сообщите и согласуйте дату операции со мной.
С уважением,
секретарь доктора Онипко Н.Н.
Здравствуйте! У меня искривление ног, я бы хотела у вас лечиться. Сколько будет стоить все лечение и провождение в стационаре?
Здравствуйте, Настя!
Стоимость операции 1500 евро.
Проживание в стационаре: койко-день- 3500 тенге ( 700 рублей).
Сюда входит: 3-х разовое питание, мед.обслуживание, проживание в 2-х местной палате.
В палатах повышенной комфортности- 8000 тенге. В палате люкс от 10000- 15000 тенге.
Обязательное нахождение в стационаре 3 недели.
Срок лечения (в аппаратах) 2-2,5 месяца.
Список анализов необходимых для операции:
1. ОАК (общий анализ крови)
2. ОАМ (общий анализ мочи)
3. Время кровотечения, длительность свёртывания.
4. Группа крови, резус фактор.
5. Биохимия крови (печёночные и почечные)
6. Кровь на СПИД и RV
7. ЭКГ
8. Консультации специалистов: терапевт (для детей- педиатр), гинеколог, стоматолог, ЛОР-врач.
9. Справка эпид-окружение.
10. Кал на яйца-глист и дез.группу.
11. Рентгеновские снимки делаются непосредственно в клинике.
Эти анализы можно пройти по месту жительства. Они действительны в течении 10 дней.
Все анализы и консультации специалистов можно пройти в клинике в течении одного дня.
В среднем стоимость всех перечисленных анализов в пределах 15000 тенге.
Напоминаем!!! Анализы сдаются только на голодный желудок.
Ознакомьтесь с нашим форумом, найдёте много полезной информации для себя. На любые вопросы косающиеся Вашей проблнмы ответят наши пациентки с удовольствием.
Перед приездом, сообщите и согласуйте дату операции со мной.
С уважением,
секретарь доктора Онипко Н.Н.
- Sekretar Onipko
- Сообщения: 4551
- Зарегистрирован: 16 авг 2011, 22:12
Re: Переписка c пациентами по e-mail
Настя
Здравствуйте, доктор! Я Вам выслала фотографии, могли бы Вы сделать моделирование, какие примерно они будут после операции? как вы видите левая нога у меня кривее правой - плохо ли это? и еще поменяется ли форма колен после лечения, т.к при сгибание ног всегда видна деформация, из-за искривление ли это? какой срок ношение аппаратов у меня предстоит, если все будет без всяких осложнений и все будет хорошо проходить? хочу приехать к Вам в феврале после сессии. Заранее спасибо за ответ!
Здравствуйте, Настя! Да, у Вас левая ножка более искривлена, но в процессе исправления обе ножки сделаем совершенно одинаковыми и ровными. Сейчас судя по фото, явной ротации у Вас не наблюдается. Но если она и проявится после исправления О-образной кривизны, устранить её не представит никаких трудностей. Форма колен обязательно изменится в лучшую сторону. Срок лечения в аппаратах 2,5 месяца +,- 2 недели. По поводу результатов, смотрите на форуме клиники доктора Онипко klinika-onipko.kz
С уважением,
секретарь доктора Онипко Н.Н.
Здравствуйте, доктор! Я Вам выслала фотографии, могли бы Вы сделать моделирование, какие примерно они будут после операции? как вы видите левая нога у меня кривее правой - плохо ли это? и еще поменяется ли форма колен после лечения, т.к при сгибание ног всегда видна деформация, из-за искривление ли это? какой срок ношение аппаратов у меня предстоит, если все будет без всяких осложнений и все будет хорошо проходить? хочу приехать к Вам в феврале после сессии. Заранее спасибо за ответ!
Здравствуйте, Настя! Да, у Вас левая ножка более искривлена, но в процессе исправления обе ножки сделаем совершенно одинаковыми и ровными. Сейчас судя по фото, явной ротации у Вас не наблюдается. Но если она и проявится после исправления О-образной кривизны, устранить её не представит никаких трудностей. Форма колен обязательно изменится в лучшую сторону. Срок лечения в аппаратах 2,5 месяца +,- 2 недели. По поводу результатов, смотрите на форуме клиники доктора Онипко klinika-onipko.kz
С уважением,
секретарь доктора Онипко Н.Н.