Дневник LЭйDI

В этом разделе каждый желающий может разместить свой рассказ об операции по исправлению "О-образной" кривизны ног. Здесь вы можете вести свой дневник, или разместить рассказ целиком. Приветствуется подробность изложения и размещение фото и видео материала.
Аватара пользователя
Sekretar Onipko
Сообщения: 4551
Зарегистрирован: 16 авг 2011, 22:12

Re: Дневник LЭйDI

Сообщение Sekretar Onipko »

Леди, получили Ваши рентгеновские снимки. костная мозоль растёт хорошо.
LЭйDI
Сообщения: 34
Зарегистрирован: 03 окт 2012, 18:30

Re: Дневник LЭйDI

Сообщение LЭйDI »

Привет Томирис, спасибо за пожелания.Отвечаю на твой вопрос по поводу спиц , мне не было больно физически, я больше напугалась за последствия isterichka .Теперь уже это позади , думаю что ломаться больше не буду, настроение отличное новогоднее newyear .Поздравляю тебя с наступающим! novyj_god_102
Dacota
Сообщения: 46
Зарегистрирован: 03 окт 2012, 13:32
Хирург: Онипко Н. Н.
Дата операции.: 09.10.2012

Re: Дневник LЭйDI

Сообщение Dacota »

Блииин мне жаль, что так со спицами вышло.. Но я рада, что ты говоришь, что больно не было.. Больше пусть ничего не ломается!

С наступающим, давайте уже скорее закончим все это :)) По поводу твоих ножек мнения не поменяла: они одни из самых лучших!
LЭйDI
Сообщения: 34
Зарегистрирован: 03 окт 2012, 18:30

Re: Дневник LЭйDI

Сообщение LЭйDI »

Хочу поздравить с Наступающим Новым годом нашего уважаемого доктора Николая Николаевича! novyj_god_7 Новый год Змеи»
Пусть этот Новый год Змеи
Исполнит все ваши мечты,
В рабочих буднях будет ладно,
В семье - стабильно все и складно,
Друзья почаще навещают,
Теплом родные согревают,
Слова признанья, комплименты
Звучат в Ваш адрес ежедневно,
И пусть на зависть вся и всех
Во всем сопутствует успех! animashka95
LЭйDI
Сообщения: 34
Зарегистрирован: 03 окт 2012, 18:30

Re: Дневник LЭйDI

Сообщение LЭйDI »

Поздравляю с наступающим Новым Годом коллектив клиники!
Год Новый наступает,
Яркий и загадочный,
Змейка темная желает,
Пусть он будет сказочным!
Пусть исполнит этот змей,
Главные желания,
Мира, счастья и друзей,
Любви и понимания.
Как река, змея скользит -
Пусть в жизни все случается,
Пусть сердце доброту хранит,
Желанья исполняются! novyj_god_102
Аватара пользователя
Milano
Сообщения: 7
Зарегистрирован: 06 ноя 2012, 17:12
Хирург: Онипко Н.Н.
Диагноз: О-образная деформация нижних конечностей
Дата операции.: 06.11.2012
Откуда: Астана

Re: Дневник LЭйDI

Сообщение Milano »

Привет Lэйди. Как дела? Как себя чувствуешь? Когда поедешь на снятие? Видела какие классные ножки получились у девчонок?
LЭйDI
Сообщения: 34
Зарегистрирован: 03 окт 2012, 18:30

Re: Дневник LЭйDI

Сообщение LЭйDI »

Привет Милано! У меня все отлично , на снятие аппаратов пока не зовут , я не в обиде , да и с моими слабыми костями наверно лучше подстраховаться и походить дольше положенного , торопиться не буду. А как твой аппаратный период проходит ? Ходишь без опоры или как? novyj_god_7 Пока , желаю проходить без "приключений".
Аватара пользователя
Milano
Сообщения: 7
Зарегистрирован: 06 ноя 2012, 17:12
Хирург: Онипко Н.Н.
Диагноз: О-образная деформация нижних конечностей
Дата операции.: 06.11.2012
Откуда: Астана

Re: Дневник LЭйDI

Сообщение Milano »

Привет Lэйди. Спасибо тебе. Хожу уже недели 3 без опоры. Пока все хорошо. Отправила рентген в клинику, жду ответ Николая Николаевича. А я не могу дождаться, когда сниму аппараты.... Уже 65 дней прошло со дня оп.
Тебе удачи, думаю в ближайшие 10 дней тебя вызовут на снятие ап. Буду ждать суперских результатов!
Аватара пользователя
Koketka
Сообщения: 54
Зарегистрирован: 05 ноя 2012, 19:55
Хирург: Онипко Н.Н.
Диагноз: О-образная деформация нижних конечностей
Дата операции.: 02.11.2012
Откуда: Астана

Re: Дневник LЭйDI

Сообщение Koketka »

Привет Лэйди, как дела у вас, как ножки? Когда планируете избавиться от оков?
Аватара пользователя
Sekretar Onipko
Сообщения: 4551
Зарегистрирован: 16 авг 2011, 22:12

Re: Дневник LЭйDI

Сообщение Sekretar Onipko »

108 дней со дня операции.
Вложения
ОНИПКО-001.jpg
ОНИПКО-004.jpg
Аватара пользователя
Sekretar Onipko
Сообщения: 4551
Зарегистрирован: 16 авг 2011, 22:12

Re: Дневник LЭйDI

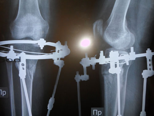
Сообщение Sekretar Onipko »

Рентгеновские снимки 108 дней.
Вложения
ОНИПКО-037.jpg
ОНИПКО-035.jpg
Аватара пользователя
Sekretar Onipko
Сообщения: 4551
Зарегистрирован: 16 авг 2011, 22:12

Re: Дневник LЭйDI

Сообщение Sekretar Onipko »

Дата операции 04.10.2012г.
Срок лечения правая нога - 114 дней, левая - 117 дней.
Здравствуйте Николай Николаевич! Результатом я очень довольна! Спасибо вам Николай Николаевич за ваши золотые руки! Дай бог вам крепкого здоровья, успехов в ваших делах!
С/ ув пациентка LЭйDI
Вложения
SAM_4016.JPG
SAM_4017.JPG
Аватара пользователя
Milano
Сообщения: 7
Зарегистрирован: 06 ноя 2012, 17:12
Хирург: Онипко Н.Н.
Диагноз: О-образная деформация нижних конечностей
Дата операции.: 06.11.2012
Откуда: Астана

Re: Дневник LЭйDI

Сообщение Milano »

Поздравляю тебя Лэйди. Супер результат. Так рада за тебя. Ну как больно? Я теперь снятия аппаратов боюсь.))))
Аватара пользователя
Tamiris
Сообщения: 65
Зарегистрирован: 20 авг 2011, 13:42

Re: Дневник LЭйDI

Сообщение Tamiris »

Леди, поздравляю тебя, ножки класс! Они у тебя не просто ровные, а красивые ещё! pusistiki pozdravlyau
Ответить