Мы с сестрой за одно, за красоту души и тела!!!
- Sekretar Onipko
- Сообщения: 4551
- Зарегистрирован: 16 авг 2011, 22:12
- Sekretar Onipko
- Сообщения: 4551
- Зарегистрирован: 16 авг 2011, 22:12
- Sekretar Onipko
- Сообщения: 4551
- Зарегистрирован: 16 авг 2011, 22:12
Re: Мы с сестрой за одно, за красоту души и тела!!!
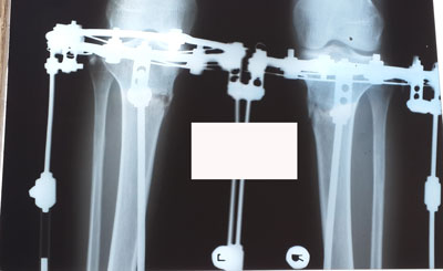
Рентген в 90 дней.
Здравствуйте,Rozali! Приезжайте на снятие аппаратов. Всё отлично! Пересрослось!!!Здравствуйте. Высылаю снимки. Как сращение? Могу приезжать на снятие?
Re: Мы с сестрой за одно, за красоту души и тела!!!
Здравствуйте. Сегодня сняла аппараты. Не могу поверить, что это наконец то случилось. Пока страшно ходить. Ноги как будто не мои))) Сегодня 95 дней.
- Sekretar Onipko
- Сообщения: 4551
- Зарегистрирован: 16 авг 2011, 22:12
Re: Мы с сестрой за одно, за красоту души и тела!!!
Дата операции 23.01.2015г.
Дата снятия аппаратов 28.04.2015г.
Срок лечения 95 дней.

Дата снятия аппаратов 28.04.2015г.
Срок лечения 95 дней.

- Sekretar Onipko
- Сообщения: 4551
- Зарегистрирован: 16 авг 2011, 22:12
Re: Мы с сестрой за одно, за красоту души и тела!!!
Дата операции 23.01.2015г.
Дата снятия аппаратов 28.04.2015г.
Срок лечения 95 дней.

Дата снятия аппаратов 28.04.2015г.
Срок лечения 95 дней.

- Sekretar Onipko
- Сообщения: 4551
- Зарегистрирован: 16 авг 2011, 22:12
Re: Мы с сестрой за одно, за красоту души и тела!!!
Ножки через 2 недели после снятия аппаратов!
- Sekretar Onipko
- Сообщения: 4551
- Зарегистрирован: 16 авг 2011, 22:12
Re: Мы с сестрой за одно, за красоту души и тела!!!
Рентген контроль в 1,5 месяца с момента снятия аппаратов.
Всё в норме! Разрешено все нагрузки без ограничения, каблуки любых размеров! Фото на каблуках за Вами!
Всё в норме! Разрешено все нагрузки без ограничения, каблуки любых размеров! Фото на каблуках за Вами!