Дневник Zhanna

В этом разделе каждый желающий может разместить свой рассказ об операции по исправлению "О-образной" кривизны ног. Здесь вы можете вести свой дневник, или разместить рассказ целиком. Приветствуется подробность изложения и размещение фото и видео материала.
zhanna
Сообщения: 66
Зарегистрирован: 17 июл 2014, 18:16

Re: Дневник Zhanna

Сообщение zhanna »

1
zhanna
Сообщения: 66
Зарегистрирован: 17 июл 2014, 18:16

Re: Дневник Zhanna

Сообщение zhanna »

29.10.14г. делали рентген, хотела узнать результаты
Аватара пользователя
Sekretar Onipko
Сообщения: 4551
Зарегистрирован: 16 авг 2011, 22:12

Re: Дневник Zhanna

Сообщение Sekretar Onipko »

Здравствуйте, Жанна! Рентген выставлю завтра. Сращение идёт отлично, ось в норме, всё у Вас хорошо!
Аватара пользователя
Sekretar Onipko
Сообщения: 4551
Зарегистрирован: 16 авг 2011, 22:12

Re: Дневник Zhanna

Сообщение Sekretar Onipko »

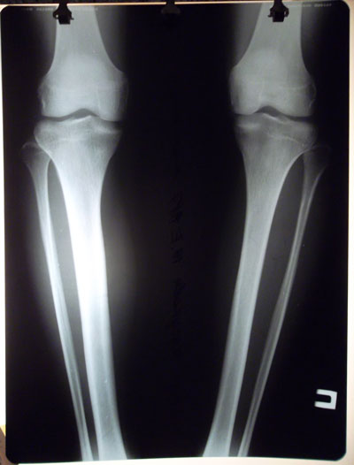
Рентген в 2 месяца.
Вложения
SAM_9288.JPG
SAM_9287.JPG
Simple Girl
Сообщения: 2
Зарегистрирован: 20 авг 2011, 00:16

Re: Дневник Zhanna

Сообщение Simple Girl »

Жанна, как ты себя чувствуешь в аппаратах на работе? тебе не сложно? и что ты говоришь, какая причина аппаратов на ногах? что соврала?
zhanna
Сообщения: 66
Зарегистрирован: 17 июл 2014, 18:16

Re: Дневник Zhanna

Сообщение zhanna »

Привет,на работе привыкла не устаю. Нет не врала сказала как есть,мне не стыдно.многие меня поддерживают .
zhanna
Сообщения: 66
Зарегистрирован: 17 июл 2014, 18:16

Re: Дневник Zhanna

Сообщение zhanna »

ноги на 74 день
Вложения
IMG-20141109-WA0000.jpg
IMG-20141109-WA0002.jpg
IMG-20141109-WA0003.jpg
zhanna
Сообщения: 66
Зарегистрирован: 17 июл 2014, 18:16

Re: Дневник Zhanna

Сообщение zhanna »

Дорбый вечер, разместите, пожалуйста, ренген-снимки до операции. Хотелось бы сравнить. Заранее спасибо
Аватара пользователя
Sekretar Onipko
Сообщения: 4551
Зарегистрирован: 16 авг 2011, 22:12

Re: Дневник Zhanna

Сообщение Sekretar Onipko »

Здравствуйте, Жанна! По Вашей просьбе, рентген голеней в прямой проекции до операции разместила.
Молодцы, что выкладываете фото ножек! Симпатяшки telka
Вложения
SAM_9319.JPG
zhanna
Сообщения: 66
Зарегистрирован: 17 июл 2014, 18:16

Re: Дневник Zhanna

Сообщение zhanna »

Здравствуйте!спасибо за рентген. Чесаться ноги пока перестали так совсем чуть чуть.
zhanna
Сообщения: 66
Зарегистрирован: 17 июл 2014, 18:16

Re: Дневник Zhanna

Сообщение zhanna »

Наталья,здравствуйте! Скоро 25ноября будет три месяца.я думаю рентген не делать,а походить еще две недели и потом сделать,так можно? Ну думаю если все будет хорошо на 16декабря снимать,если в праздник вы работаете.Хотя ноги опять чешутся, не знаю немного некомфортно из-за этого.д
Жду вашего мнения!
Аватара пользователя
Sekretar Onipko
Сообщения: 4551
Зарегистрирован: 16 авг 2011, 22:12

Re: Дневник Zhanna

Сообщение Sekretar Onipko »

Здравствуйте, Жанна! Можно, ближе к дате - созвонимся! Место раздражения и зуда мажьте тонким слоем мази ЭЛОКОМ (хорошо помогает)
zhanna
Сообщения: 66
Зарегистрирован: 17 июл 2014, 18:16

Re: Дневник Zhanna

Сообщение zhanna »

Здравствуйте,Наталья. Вчера сделала рентген 105дней,К.Н.сказал,что левая нога плохо срастается,я в расстроенных чувствах ,еще минимум 3 нед.ходит.хотелось бы узнать мнение Н.Н. И как правая?почему так бывает одна отстает?но и без рентгена я чувствую что левая еще плоха. Выложите пож-та рентген и кстати в 18 дней рентген тоже,хочу смотреть и сравнивать. Спасибо,жду комментарий.
zhanna
Сообщения: 66
Зарегистрирован: 17 июл 2014, 18:16

Re: Дневник Zhanna

Сообщение zhanna »

А кстати спицы еще беспокоят к вечеру еле хожу.делаю как прописали мазь левомиколь утром на ночь гиперт.р-р 10% и пью вертолет,супростин.кстати это правая нога ниж.внешние спицы.
Ответить