Sekretar Onipko » 16 июл 2019, 23:26
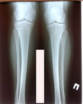
Исходник - 25 лет.
Диагноз: вальгусная деформация голеней (Х - образная)
Дата операции - 16.07.2019г.
- Вложения
-

-

-

[b][u][color=#FF0000]Исходник - 25 лет.[/color][/u][/b]
[b][color=#FF0000]Диагноз:[/color][/b] [b][i][color=#0000FF]вальгусная деформация голеней (Х - образная)[/color][/i][/b]
[b][color=#FF0000]Дата операции - 16.07.2019г.[/color][/b]